Содержание
Тромб в лёгких — это тяжёлая патология. Тромб закупоривает сосуды, нарушает кровоток и приносит вред всему организму, провоцируя тромбоэмболию артерии лёгких.
Если сгусток крупный, и своевременно не оказана помощь пациенту, то зачастую это приводит к летальному исходу.
Диагностировать это заболевание сложно, потому что тромбоз лёгких маскируется под другие болезни. Симптомы этой патологии проявляют себя не сразу, и при диагностике нередки случаи, когда пациент умирает во время обследования.
Что делать, если оторвался тромб в лёгких? Что такое тромб в лёгких, и каковы последствия этого явления? Сколько времени с ним можно прожить?
Подробнее про состояние
Тромб, который приводит к тромбоэмболии, может образовываться в ногах, в правом отделе сердца. При отрыве он поступает в малый круг кровообращения и движется по лёгочной артерии.
Если он отрывается, то перекрывает ветви артерии, блокирует кровоток, что нередко приводит к смерти пациента.
Последствия зависят от размеров сгустка и локализации закупорки. Путешествующий тромб в лёгочной артерии нарушает кровообращение, вызывает кислородное голодание и гипоксию.
ТЭЛА (тромбоэмболия лёгочной артерии) по статистике смертности находится на третьем месте после рака, болезней сердца и сосудов. Нередко тромбы формируются из-за тяжёлых заболеваний, операции, механических травм. Болезнь сложно диагностировать из-за множества её проявлений.
Развивающаяся тромбоэмболия может проявлять себя по-разному. Последствия и осложнения зависят от размера тромба, области закупорки, числа поражённых сосудов и других факторов.

- Резко развивающаяся одышка. Пациент часто дышит, у него сильно бьётся сердце, но нет признаков сердечной недостаточности или нарушения работы дыхательной системы.
- Острое лёгочное сердце. При таком развитии болезни фиксируется острая правожелудочковая недостаточность, у человека резко повышается давление, он часто дышит, сердцебиение ускоряется.
- Инфаркт лёгкого. В этом случае у человека появляется одышка, он кашляет. При кашле в мокроте возможны примеси крови, возникает приступ боли в грудине, под лопаткой. Цвет лица меняется на землистый, вены на шее пульсируют, пациент покрывается липким потом. Возможно повышение температуры, падение артериального давления.
Инфаркт легкого протекает тяжело и часто приводит к смерти пациента.
Развитие этого заболевания практически мгновенно, а множество пациентов умирает, даже не зная, что у них были тромбы в лёгких.
Если при диагностике выявлен тромб, находящийся в лёгких, то в 50% случаях пациенту можно помочь.
Врачи подчеркивают, что тромбы в легких, или легочная эмболия, представляют собой серьезное состояние, требующее немедленного внимания. Это заболевание возникает, когда сгусток крови блокирует артерию в легких, что может привести к недостатку кислорода в организме и даже к летальному исходу. Специалисты отмечают, что факторы риска включают длительное пребывание в неподвижном состоянии, операции на ногах и некоторые заболевания, такие как рак. Симптомы могут варьироваться от одышки и боли в груди до кашля с кровью. Врачи настоятельно рекомендуют своевременно обращаться за медицинской помощью при появлении подозрительных признаков, так как ранняя диагностика и лечение значительно повышают шансы на успешное восстановление. Профилактика, включая физическую активность и использование антикоагулянтов, также играет ключевую роль в снижении риска возникновения тромбообразования.

Симптомы
Проявления этого заболевания достаточно разнообразны и зависят от течения болезни, последствий и воздействия на организм других факторов.
К ряду общих симптомов можно отнести:
- Внезапную одышку;
- Учащённое сердцебиение, достигающее 100 ударов в минуту;
- Бледный, сероватый оттенок кожи;
- Болевой синдром, локализующийся в грудной клетке;
- Проблемы с пищеварением;
- Набухание вен шеи и их пульсацию;
- При исследовании слышатся шумы в сердце;
- У пациента падает давление.
Реже у людей начинается рвота, скапливается жидкость в грудной клетке.
Человек может впадать в кому, у него развивается резкая боль в грудной клетке, он теряет сознание.
В некоторых случаях наблюдается лихорадка, кровохарканье.
Причины
Врачи не пришли к единому мнению, почему в лёгких образуются тромбы.
Но, вероятнее всего, причинами их возникновения становится долгое статичное положение тела в одной позе, ожирение.
Приводят к образованию тромбов и операции, травмы, приём лекарств, которые усиливают свёртываемость крови.
Негативно влияет на состояние и провоцирует образование сгустков сгущение крови, наследственные болезни сердца, варикоз.
В группу риска образования бляшек входят беременные женщины, усиливается вероятность возникновения сгустков после родов, у пожилых людей, при частых авиаперелётах.
Негативным фактором также могут быть наследственные патологии.
Тромб в легких, или легочная эмболия, вызывает множество обсуждений среди людей, особенно в контексте здоровья и профилактики. Многие отмечают, что это состояние может возникнуть неожиданно и часто связано с длительным пребыванием в неподвижном состоянии, например, во время длительных поездок. Люди делятся своими историями о том, как важна своевременная диагностика и обращение к врачу при первых симптомах, таких как одышка или боль в груди. Некоторые подчеркивают необходимость регулярных медицинских осмотров и активного образа жизни для снижения риска. Важно также помнить о факторах, способствующих образованию тромбов, таких как курение и избыточный вес. Обсуждения часто касаются и методов лечения, включая медикаментозную терапию и хирургические вмешательства, что подчеркивает важность осведомленности и профилактики.

Как диагностируется?
ЭКГ
При проведении ЭКГ у пациентов, имеющих тромбоз лёгочной артерии, отмечаются проявления, похожие на инфаркт миокарда, но ST повышается. Если создать нагрузку на правый желудочек, то появляются микроспазмы в этой области.
С помощью такого метода сложно достоверно поставить диагноз, и все результаты обследования пациента следует тщательно изучать. Эмболию лёгких нередко путают с патологиями сердца, дыхательной системы, что может привести к серьёзным последствиям. Бывают случаи, когда болезнь вообще не проявляет себя, а обнаруживается при дополнительном исследовании самих артерий.

Рентген
Этот метод диагностики в большинстве случаев малорезультативен, но он помогает отличить тромб от других патологий в организме пациента с похожими симптомами, например, от перикардита или воспаления лёгких.
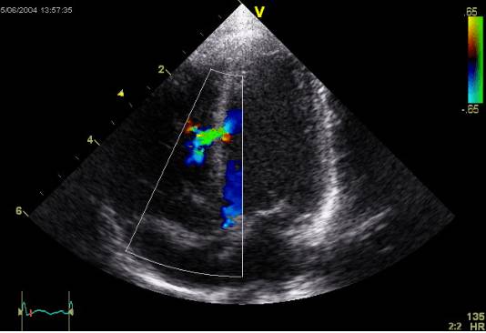
Эхокардиограмма
С помощью такого метода диагностики удаётся понять, какова форма тромба и какой у него размер, где он находится.
Исследование крови больного
Для диагностики болезни используют общий анализ крови и биохимию. На основании анализов выявляется лимфопения, увеличение уровня лейкоцитов, повышение СОЭ.
При биохимии в крови становится выше лактатдегидрогеназа, возможно увеличение билирубина и фибрина.
Другие способы диагностики
МРТ
С его помощью можно увидеть ветви артерий лёгких и увидеть тромб.
Ангиопульмонография
Это исследование с помощью рентгена, при котором в артерию вводят контрастное вещество. Нормально функционирующие артерии будут чётко видны, а закупоренные обрываются в местах «забитых» сосудов.
УЗИ вен
С помощью такого сканирования можно визуализировать и найти сосуд, в котором произошла закупорка. При необходимости УЗИ дополняют доплерографией.
При надавливании датчиком на закупоренную вену и при её неспадании врач делает вывод о наличии в ней сгустка.
Сцинтиграфия
Этот метод диагностирования информативен и в 90% случаев помогает выявить тромб в лёгких. С помощью него врач увидит, в какие участки органа не поступает кровь. Его часто используют, когда пациенту в силу каких-то причин нельзя делать компьютерную томографию.
Определение концентрации d-димеров
Повышенный фибрин говорит о загущении крови и в 90% случаев подтверждает факт наличия лёгочной тромбоэмболии.
Этот показатель также используется для диагностики других тяжёлых заболеваний. Если значение этого компонента находится в норме, то это помогает исключить заболевание.
Посмотрите большое видео на эту тему
Особенности болезни у детей и новорожденных
Существует ряд факторов, которые провоцируют такое состояние. Это могут быть врождённые патологии стенок сосудов и их механическое повреждение, ухудшение кровоснабжения при инфекционных болезнях, гипоксии и других состояниях.
У младенцев возникновение тромбов провоцируют сосудистые катетеры, шоковые состояния, тяжёлые инфекции.
Нередко сгустки формируются из-за тяжёлых наследственных болезней, например, при дефектах антикоагулянтов.
Для выявления заболевания используют УЗИ и контрастную ангиографию.
Лечат детей с помощью кровопускания, введением раствора натрия хлорида, применяют лекарства-дезагреганты.
Клинические проявления тромбоза у детей:
- Отеки ног, тканей корпуса;
- Нередко развивается почечная недостаточность и некроз надпочечников;
- Застои крови;
- Пульс не прощупывается;
- Кожные покровы становятся холодными;
- Кожа меняет цвет;
- Появляются судороги;
- Развиваются шоковые состояния;
- Возникает энтероколит.
Лечение
Постельный режим
Больным рекомендуется длительный постельный режим, который замедлит кровообращение и позволит снизить давление, уменьшив вероятность отрыва тромба и закупорки лёгочной артерии.
Госпитализация
Если у пациента есть подозрение на тромб в артериях лёгких, то его срочно госпитализируют. Практика показывает, что несвоевременная помощь больному нередко приводит к летальному исходу.
При нахождении человека в больнице ему ставят катетеры в центральные вены для мониторинга общего состояния и наблюдения за давлением.
Если есть острая дыхательная недостаточность, то проводят интубацию трахеи.
После тщательной диагностики проводится лечение, направленное на устранение болевого синдрома (наркотические анальгетики), восстановление дыхательной деятельности и другие методы интенсивной терапии.
Интубация трахеи
Это медицинская процедура, подразумевающая введение в трахею специальной трубки пациентам в тяжёлом состоянии для улучшения проходимости дыхательных путей. Такой метод воздействия устраняет асфиксию, не даёт западать языку, расправляет участки лёгких, не даёт образовываться отеку лёгких.
Способ не применяют при травмах шейного отдела, воспалениях шеи и деформации черепа.
Процедуру можно делать, анестезируя верхние дыхательные пути, когда человек в сознании, или если пациент в коме, без сознания, то манипуляции выполняют путём ларингоскопии.
Медицинские препараты
Анальгетики
Для купирования болевого синдрома рекомендуется приём наркотических и ненаркотических анальгетиков.
Морфин
Форма выпуска: раствор для инъекций. При тромбе лёгких морфин перед введением смешивается с хлоридом натрия, инъекция вводится внутривенно. Препарат применяется при инфаркте, при проявлениях у пациента стенокардии, при механических повреждениях мягких тканей и костей.
Часто морфин используют для устранения болевого синдрома при раковых заболеваниях, для анестезии (например, эпидуральной). Применяют его для обезболивания при хирургическом вмешательстве или после родов.
Не рекомендуется использовать морфин, если у человека наблюдаются судороги, есть боли в животе. Не следует применять его при наличии у пациента индивидуальной сердечной недостаточности.
Стоимость морфина начинается от 35 рублей за 10 ампул.
Кеторолак
Форма выпуска: раствор для приготовления внутривенных инъекций. Кеторолак – нестероидный препарат, применяющийся для устранения болевого синдрома разной этиологии, в том числе при травмах, онкологии, мигренях и зубной боли. Способствует симптоматическому снятию болей и устраняет воспаление.
Не рекомендуется использовать пациентам, склонным к аллергическим реакциям (крапивница, аллергическая астма, ринит), при эрозии и язвенной болезни желудочно-кишечного тракта. Не применяют его при гемофилии, при склонности к кровотечениям, после шунтирования. Запрещён на последних месяцах беременности, не используется при родах, во время кормления. Не следует применять его при лечении детей до 16 лет.
Стоимость начинается от 55 рублей.
Нимесил
Форма выпуска: гранулы для приготовления суспензии. Лекарство рекомендуется для купирования болевого синдрома разной этиологии, при травмах, болях в суставах. Препарат помогает снимать воспаление.
Нимесил не применяют при аллергии на лекарство, при болезни Крона, при острой фазе язвенной болезни, колите. Запрещен после шунтирования, при лихорадке, сердечной, печёночной и почечной недостаточности, при геморрагическом синдроме. Не используют его для лечения беременных пациенток, детей до 12 лет, кормящих женщин.
Стоимость Нимесила начинается от 43 рублей.
Препараты тромболитической терапии
Стрептокиназа
Форма выпуска: лиофилизат для инъекций, предназначенный для введения внутримышечно и внутривенно. Лекарство применяется для лечения острого периода инфаркта миокарда, при тромбах в лёгочной и других артериях, при эндартериитах, при ретромбозе, при тромбозах. Рекомендуется применять при стенокардии.
Нельзя применять при склонности к кровоизлияниям и кровотечениям разной этиологии, при непереносимости компонентов лекарственного средства. Не используют после родов (в течение 10 дней), пункций, биопсий, при травмах, при новообразованиях и метастазах. Не рекомендуется использовать при эрозиях, воспалениях в желудочно-кишечном тракте, при панкреатите, повышенном давлении. Не применяют при эндокардите и перикардите в острой стадии, туберкулёзе, сепсисе. Не используется препарат для лечения на первых месяцах беременности.
Стоимость начинается от 1520 рублей.
Урокиназа
Форма выпуска: лиофилизат для приготовления раствора для инъекций. Лекарство используется при тромбозах, болях в грудной клетке, при острой фазе инфаркта, при наличии у пациента атеросклероза.
Препарат противопоказан при непереносимости его компонентов, при склонности к кровотечениям. Не применяют в течение 3 суток после хирургических вмешательств, при опухолях желудка, при язвенной болезни. Нельзя применять его при травмах головы, при проблемах со свёртыванием крови. Не рекомендуется использовать при отёке лёгких, при тромбозах артерий. Не применяют при стенозе, на ранних стадиях беременности.
Стоимость лекарства начинается от 4500 рублей.
Альтеплаза
Форма выпуска: раствор для инъекций. Лекарство применяется при остром инфаркте миокарда, при тромбоэмболии. Препарат нельзя применять при геморрагическом синдроме, при употреблении антикоагулянтов. Лекарство не применяют, если у пациента развивается внутреннее кровотечение или есть новообразования. Не следует лечиться уколами с Альтеплазой, если у человека есть аневризмы или были операции в два предыдущих месяца.
Не применяют инъекции после хирургических вмешательств, после родового процесса, если у пациента недавно бралась пункция. Не используют её при циррозе, варикозе пищевода, гепатитах.
Стоимость начинается от 19 000 рублей.
Препараты контроля свёртываемости крови
Гепарин натрия
Форма выпуска: порошок, раствор для инъекций. Лекарство рекомендуют при острой фазе инфаркта, при тромбоэмболии лёгких, при эндокардите бактериальной природы. Его применяют при мерцательной аритмии, при пороке сердца, при тромбозах вен и артерий, при тромбофлебите.
Нельзя использовать Гепарин натрия, если пациент склонен к аллергии, при геморрагическом синдроме, если у пациента диагностирована гемофилия. Не назначают этот препарат при травмах головы, при патологии, связанной с нарушением функционирования печени и почек, при лейкозах, раке желудка.
Стоимость препарата начинается от 95 рублей.
Фраксипарин
Форма выпуска: раствор для инъекций. Препарат рекомендуется для устранения осложнений после тромбоэмболии, его часто используют после операции, для лечения лиц, склонных к образованию тромбов.
Фраксипарин запрещён при наличии кровотечений или склонности к ним. Его не применяют пациентам в возрасте до 18 лет, при эндокардите инфекционной природы. Не применяют инъекции препаратом при непереносимости активных веществ лекарства, при кровоизлиянии в мозг, при вероятности внутренних кровотечений, при травмах головного или спинного мозга.
Стоимость препарата начинается от 2200 рублей.
Варфарин
Форма выпуска: таблетки. Варфарин применяют при эмболии лёгочной артерии, при острых тромбозах вен, в профилактических целях, для лечения тромбозов, возникающих после операции. Применяют таблетки в комплексной терапии для пациентов, перенёсших инфаркт или инсульт, ишемическую атаку.
Таблетки не рекомендуют принимать при тромбоцитопении, при аневризме артерий, при язвенной болезни ЖКТ. Препарат не прописывают при кровоизлиянии в головной мозг, при кровотечениях, на первых месяцах и на последних неделях беременности.
Стоимость препарата начинается от 125 рублей.
Другие препараты
При осложнениях и заражении лёгких бактериальной инфекцией могут использоваться антибиотики широкого спектра действия.
Подбор препарата и дозировки зависит от течения болезни, её тяжести, возрастной группы пациента и других индивидуальных особенностей.
Хирургическое вмешательство
Хирургическое вмешательство для лечения этого заболевания используется нечасто. Обычно это происходит при резком ухудшении здоровья пациента, несмотря на применение медикаментов, при закупорке бляшкой крупных ветвей или самой артерии, при серьёзных нарушениях кровообращения.
Операция может использоваться для лечения постоянных рецидивов болезни, если у пациента падает давление, в случаях, когда тромбоэмболия распространяется на большие участки.
Хирурги применяют два основных способа воздействия:
- Удаление тромба. Такой вид хирургического вмешательства рекомендуется при острой фазе тромбоэмболии.
- Удаление части артерии с прикреплённым внутри нее сгустком. Такое хирургическое вмешательство называется тромбэндартерэктомия. Чаще всего такую операцию проводят при хроническом заболевании с частыми рецидивами.
Кава-фильтр
Кава-фильтр представляет собой сетку, которая ставится в просвете нижней вены. Через неё не могут пройти оторвавшиеся кусочки сгустка, они не достигают лёгких, сердца.
Этот способ становится своеобразной профилактикой тромбоэмболии.
Кава-фильтр устанавливают в случаях, когда у больного выявлено заболевание или существует склонность к нему.
Операция выполняется через прокол в кожных покровах, в тело пациента вводится катетер.
Он может находиться на шее, в области вен ключицы или на бедре. Хирургическое вмешательство производят под местным наркозом, устанавливают сетку в течение 60 минут.
Катетер проводится по руслам вен, устанавливается сетка, она расправляется и цепляется за стенки. После такой манипуляции катетер выводят из тела.
Установка кава-фильтра не требует швов. После операции пациент быстро восстанавливается, но ему требуется постельный режим на протяжении двух суток.
Другие методы лечения и помощи
Тромбы в лёгких лечат при помощи медикаментов или хирургическим путём. Но немаловажно уметь оказать первую помощь пациенту, если тромб оторвался, потому что в такой ситуации дорога каждая минута.
В первую очередь, для человека необходимо вызвать скорую помощь.
Тем временем пациента сажают или укладывают на пол, приподнимая голову.
Одежду на нём следует расстегнуть, вытащить изо рта зубные протезы, максимально обеспечить доступ свежего воздуха в помещение.
В этот момент пациенту нельзя нервничать, ему не дают воды, запрещён приём пищи.
Если возникают сильные боли, то можно дать анальгетик, который дополнительно снимет проблемы с одышкой.
Осложнения и последствия
Тромбоэмболия артерии лёгких может приводить к инвалидности или летальному исходу.
Чаще всего врачи отмечают такие последствия:
- Рецидив заболевания;
- Тяжёлые патологии дыхательной системы;
- Инфаркт лёгкого с последующим его воспалением;
- Недостаточность лёгких;
- При болезни может останавливаться сердце.
Если тромб отрывается, то возможно два варианта:
- Если затронуты небольшие области, то кровоток может восстановиться самостоятельно, а тромб растворится.
- При поражении большой площади и закупорке артерии отрыв бляшки может привести к инфаркту лёгкого и последующей смерти пациента.
Одним из негативных последствий отрыва тромба будет недостаток кислорода и переизбыток углекислого газа.
В этом случае в организме нарушается равновесие, что ведёт к отравлению тканей углекислым газом.
Тогда людей подключают к аппарату искусственной вентиляции лёгких с целью восстановления газообмена. Такой метод лечения используют редко, например, если человек не дышит сам, если возникла агония, если стремительно продолжает повышаться уровень углекислого газа в организме.
После того, как газообмен восстановится, пациента отключают от аппаратного дыхания, но врачи продолжают мониторинг баланса газообмена в организме.
Если рассматривать самые негативные последствия при тромбах в лёгких, то мы увидим, что нередко наблюдаются летальные исходы, может отмирать лёгкое, развивается плеврит, возможно отравление углекислым газом или рецидивы болезни.
Прогнозы и процент выживания
Прогноз заболевания зависит от области поражения, сценария развития заболевания. Если нарушен газообмен в организме, то прогноз крайне неблагоприятный, и пациента следует перевести на аппарат искусственного дыхания. В этом случае шансы на выживание повышаются.
Если произошла закупорка мелких участков и своевременно пациенту оказана помощь, то прогноз является более благоприятным, но не следует расслабляться, необходимо доводить лечение до конца и провести профилактические меры.
Каков процент выживания?
Согласно врачебной статистике, в каждом пятом случае фиксируется смерть в период до 12 месяцев с момента проявления первых симптомов.
В следующие четыре года выживает только один больной из пяти. Это заболевание легче предупредить, чем лечить. Стоит помнить о том, что в 90% случаев ТЭЛА диагностируется после смерти человека.
Профилактика, возможна ли?
Меры профилактики делятся на первичные и вторичные.
Первичная профилактика
Первичные методы профилактики используют для людей, которые входят в группу риска и склонны к образованию тромбов, даже если у них нет явных симптомов болезни.
Первичную профилактику нужно проводить людям, которые достигли возраста 45 лет, имеют склонность к инфарктам или инсультам.
Следует обратить внимание на своё здоровье людям с ожирением, пациентам, которым проводились операции в области малого таза, ног. В группу риска также входят пациенты с тромбозом глубоких вен.
Если человек в возрасте до 40 лет долгое время придерживался постельного режима, то ему нужно как можно раньше активизировать двигательную деятельность и носить эластичные чулки.
Пациентам, входящим в группу риска, (в зависимости от назначений врача) необходимо делать пневмомассаж ног для улучшения кровообращения и лимфотока. Им рекомендуется носить эластичные чулки.
В качестве профилактических мер необходим приём варфарина, гепарина, надропарина кальция и других препаратов.
Дозировка и длительность приёма определяется лечащим врачом.
Меры вторичной профилактики
Вторичная профилактика необходима для тех людей, которые уже перенесли тромбоз. Также в целях профилактики рекомендуется установка кава-фильтра, приём медикаментов, которые разжижают кровь (антикоагулянты). Таким людям следует отказаться от вредных привычек, следить за правильностью своего рациона, дополнительно принимать витаминно-минеральные комплексы.
Вывод
Тромб в лёгких — это опасное состояние, которое нередко приводит к инвалидности, смерти, инфаркту лёгкого и другим серьёзным последствиям. Он может провоцировать тромбоэмболию. При этой болезни бляшка отрывается и перекрывает артерию лёгкого, закупоривает её. У человека начинается дефицит кислорода, ткани отравляются углекислым газом. Патология может протекать бессимптомно или с ярко выраженной клинической картиной.
Диагностика тромбоза лёгких затруднена, потому что заболевание может маскироваться под другие патологии.
При постановке диагноза следует использовать несколько методов исследования.
Лечение проводится с помощью медикаментов, разжижающих кровь, лекарств, которые купируют острый болевой синдром, препаратов, разрушающих тромб.
Прогноз тромбоэмболии, как правило, неблагоприятный и зависит от размеров тромба, его объёма, области закупорки, возраста пациента и других факторов. При этом заболевании высокая смертность, поэтому болезнь проще предупредить, чем вылечить.
Существует ряд профилактических мер первичного и вторичного характера. Первичная профилактика предназначена для группы пациентов, склонных к тромбообразованию. Вторичные профилактические меры включают в себя приём препаратов для уменьшения частоты рецидивов, а также установку кава-фильтра.
Вопрос-ответ
Как долго человек может жить с тромбом в легких?
Исследование показывает, что каждый пятый человек, перенесший тромбоэмболию легочной артерии, может умереть в течение года после постановки диагноза. При правожелудочковой сердечной недостаточности риск смерти в течение 24 часов в два-три раза выше, чем при острой тромбоэмболии легочной артерии без ЗГТ.
Можно ли спасти человека при тромбоэмболии легочной артерии?
Смертность от тромбоэмболии легочной артерии при неправильной диагностике или отсутствии медицинской помощи в первые несколько часов достигает 50% случаев. При своевременном же оказании помощи и адекватном лечении риск смерти снижается до 10%.
Советы
СОВЕТ №1
Обратите внимание на симптомы. Если вы испытываете одышку, боль в груди, учащенное сердцебиение или кашель с кровью, немедленно обратитесь к врачу. Эти признаки могут указывать на наличие тромба в легких и требуют срочной медицинской помощи.
СОВЕТ №2
Регулярно проходите медицинские обследования, особенно если вы находитесь в группе риска (например, после операции, при длительном сидячем образе жизни или наличии заболеваний, влияющих на свертываемость крови). Это поможет выявить проблемы на ранней стадии.
СОВЕТ №3
Следите за своим образом жизни. Поддерживайте активность, занимайтесь физической культурой и избегайте длительного сидения. Правильное питание и поддержание нормального веса также способствуют снижению риска тромбообразования.
СОВЕТ №4
Если вам назначены антикоагулянты или другие препараты для профилактики тромбообразования, строго следуйте указаниям врача. Не прекращайте прием лекарств без консультации, так как это может увеличить риск тромбообразования.















