Содержание
Гемангиома представляет собой клубок из туго сплетенных между собой кровеносных сосудов. Возникая в головном мозге, эта опухоль, будучи доброкачественной, является крайне опасной для жизни, так как при ее разрыве образуется обширное кровотечение, вызывающеее отек мозга и летальный исход. По каким причинам развивается гемангиома головного мозга, как проявляется и поддается ли лечению — рассмотрим далее.
Локализация

Наиболее яркие симптомы проявляет гемангиома, локализованная в районе мозжечка. Это проявляется нарушением координации движений, головной болью по типу мигрени, острой реакцией на свет и звук.
Теряется способность к запоминанию и адекватному восприятию информации.
Врачи отмечают, что гемангиома головного мозга у взрослых является редким, но важным заболеванием, требующим внимательного подхода. Это доброкачественная опухоль, состоящая из кровеносных сосудов, которая может проявляться различными симптомами, включая головные боли, судороги и неврологические нарушения. Специалисты подчеркивают, что диагностика гемангиомы часто осуществляется с помощью МРТ, что позволяет точно определить ее размер и расположение. Лечение может варьироваться от наблюдения до хирургического вмешательства, в зависимости от клинической картины и состояния пациента. Врачи рекомендуют не игнорировать симптомы и обращаться за медицинской помощью при их появлении, так как ранняя диагностика и правильное лечение могут значительно улучшить качество жизни.

Группы и факторы риска
Доказано, что гемангиома головного мозга чаще всего сопровождается характерными симптомами именно у мужчин, в то время как у женщин заболевание может длительное время протекать бессимптомно. С чем связана такая особенность до конца не установлено.
Новообразование может быть выявлено как в детском возрасте, так и в более зрелом. Однако в 98% случаев наличие опухоли выявляется случайно, когда разноплановые клинические проявления требуют проведения комплексной диагностики с исследованием головного мозга.
Выделяют несколько факторов риска, воздействие на организм которых может провоцировать формирование недуга:
- Частые травмы головы (особенно у спортсменов), которые сопровождаются кровоизлияниями;
- Заболевания сосудистой системы, при которых сосуды теряют свою эластичность и прочность;
- Артериальная гипертензия и повышенное внутричерепное давление;
- Длительное воздействие вредного излучения на организм;
- Употребление алкоголя, никотина и наркотических веществ;
- Бесконтрольное использование медикаментов, особенно стероидной группы;
- Малоподвижный образ жизни, при котором отмечается кислородное голодание всего организма;
- Период беременности у женщин.
В группу риска попадают следующие категории пациентов:
- страдающие ожирением, гипертонией и повышенным внутричерепным давлением;
- женщины в период беременности;
- спортсмены, подверженные постоянным травмам головы;
- люди, страдающие алкогольной и наркотической зависимостью;
- пациенты с генетической предрасположенностью к данному заболеванию.
Зафиксированы случаи, когда гемангиома встречалась в пределах одной семьи, но определенной закономерности в этом нет.
То есть патология может передаваться по наследству, а может и не передаваться.
Что происходит в организме?

Маленькие опухоли могут длительное время находиться в головном мозге без характерной симптоматики, но как только их габариты увеличиваются, происходит сдавливание не только сосудов и тканей места локализации, но и близлежащих тканей, что значительно расширяет спектр клинических проявлений.
По мере роста опухоли увеличиваются риски внезапного летального исхода. Происходит это в том случае, когда новообразование подвергается механическому сдавливанию, под силой которого сосуды не выдерживают и лопаются, формируя кровотечение. Клиническая картина инфаркта головного мозга — молниеносная.
В большинстве случаев пациенту не успевают оказать помощь.
Гемангиома головного мозга — это доброкачественная опухоль, состоящая из кровеносных сосудов. Многие люди, столкнувшиеся с этой проблемой, отмечают, что первоначально не испытывают никаких симптомов. Однако по мере роста опухоли могут возникать головные боли, судороги и неврологические нарушения. Важно понимать, что диагностика гемангиомы часто происходит случайно, во время МРТ или КТ, проведенного по другим причинам. Люди делятся опытом, что после получения диагноза важно не паниковать, а обратиться к специалистам для оценки состояния и выбора тактики лечения. Некоторые пациенты отмечают, что в большинстве случаев гемангиомы не требуют вмешательства, если не вызывают серьезных симптомов. Тем не менее, регулярное наблюдение и контроль состояния остаются ключевыми аспектами в управлении этим заболеванием.

Причины возникновения

- Генетическая предрасположенность;
- Период беременности у женщин после 35 лет;
- Наличие сердечно-сосудистых заболеваний;
- Ранее перенесенные инфекционные заболевания головного мозга;
- Повышенная склонность к развитию инсульта сосудов головного мозга;
- Хроническая анемия, при которой клетки мозга испытывают кислородное голодание;
- Врожденные патологии головного мозга;
- Эпилепсия и нервные потрясения, провоцирующие острый спазм сосудов головного мозга;
- Синдром хронической усталости, при котором человек спит менее 4 часов в сутки;
- Частые травмы головы, которые проходят самостоятельно без должной диагностики и рекомендаций специалиста.
Все эти причины могут вызывать развитие гемангиомы, поэтому при наличии некоторых из них внеплановая диагностика не навредит.
Если человек находится в группе риска, ему рекомендуется ежегодно проходить диспансеризацию при отсутствии жалоб, а также обращаться за квалифицированной помощью при наличии сильных головных болей, постоянного головокружения и острой реакции на свет и звук.
Стадии и симптомы
Выделяют три стадии сосудистого заболевания, проявление которого имеет свои обособленные симптомы:
Начальная стадия отмечается наличием небольшого новообразования (до 1 см в диаметре), которое не оказывает никакого воздействия на сосуды головного мозга.
Люди могут годами жить и не знать о наличии опухоли в голове, так как она в начальной стадии протекает бессимптомно и не беспокоит своего хозяина.

- В лобной доле: сильная сдавливающая головная боль по типу мигрени, тошнота, головокружение, расстройства зрения.
- В затылочной доле: проблемы с памятью, ухудшение слуха, шум в ушах, острая реакция на свет, головокружение, нарушение речи, расстройства психики.
- В области мозжечка: нарушения координации движений, парезы.
- Продолговатый мозг: снижение проявлений безусловных рефлексов.
Длительное сдавливание сосудов головного мозга опухолью приводит к нарушению питания целых отделов, что влечет за собой опасные последствия, которые при промедлении могут стоить человеку жизни.
Запущенная стадия отличается наличием крупных опухолей, которые сдавливают большие участки мозга, что проявляется такой симптоматикой, как:
- нарушение восприятия и воспроизведения речи;
- проблемы с памятью, особенно кратковременной;
- нарушение координации движений;
- приступы по типу эпилепсии;
- повышение внутричерепного давления;
- увеличение сосудов, ведущих в мозг, что заметно визуально;
- снижение проявления некоторых рефлексов;
- паралич отдельных частей тела;
- постоянный шум в ушах, при котором у человека развивается раздражительность.
При наличии опухолей более 5 см в диаметре резко увеличиваются риски развития инфаркта сосудов, что в большинстве случаев заканчивается летальным исходом.
Требуется комплексная диагностика, а также радикальное лечение.

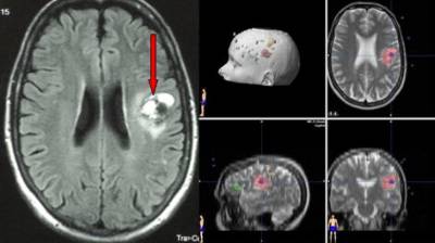
Диагностика
Важно не только определить наличие новообразования, но и дифференцировать его к гемангиомам, отобразив габариты, точную локализацию и возможную угрозу для жизни. Комплексная диагностика помогает составить план лечения, который базируется на полученных данных, а также рассмотреть возможный прогноз, учитывая индивидуальные особенности пациента.
Не всегда внешние клинические признаки свидетельствуют о наличии гемангиомы. Так может проявляться множество патологий, не связанных с мозгом вообще.
Поэтому без помощи специализированной аппаратуры не обойтись.
Все методы диагностики гемангиомы головного мозга можно разделить на две группы:
- Инвазивные – предполагают введение в сосуды определенного вещества, окрашивающего опухоль, что облегчает ее диагностику. Метод имеет массу противопоказаний и побочных реакций, однако обладает наивысшей точностью. Сюда относится ангиография, которую успешно заменяют неинвазивными способами диагностики.
- Неинвазивные – магнитно-резонансная томография и компьютерная томография помогают получать объемное изображение, с помощью которого создается полноценный вид исследуемого органа.
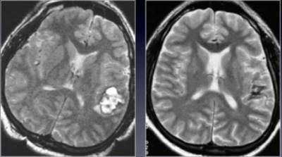
МРТ
Отличается повышенной точностью полученных результатов, а также низким процентом погрешности, чего нельзя сказать об исследовании, основанном на использовании рентгеновских лучей.
Процедура полностью безболезненная и практически не имеет противопоказаний, за исключением наличия кардиостимулятора и периода беременности у женщин.
Единственным недостатком данного метода исследования является высокая стоимость.
КТ
Компьютерная томография менее информативна при диагностике головного мозга, уступая МРТ в точности и объективности выдаваемых данных. В некоторых случаях может использоваться контраст, с помощью которого будут заметны даже самые маленькие опухоли.
Другие методы

- Биохимический анализ крови, анализ мочи;
- Ангиография в индивидуальных случаях, когда возможная польза превышает возможные риски;
- УЗИ сосудов головного мозга;
- Оценка внутричерепного давления;
- ЭКГ.
При наличии хронических заболеваний перечень диагностических мероприятий может быть расширен.
Лечение
Бороться с опухолью в головном мозге крайне сложно, даже если она имеет доброкачественную природу и не способна прорастать в ткани органа. Метод лечения зависит от нескольких параметров:
- тип, размер и место локализации опухоли;
- возраст и наличие хронических патологий;
- перенесенные ранее инсульты и инфаркты сосудов головного мозга.
В зависимости от этого подбирают наиболее оптимальный и безопасный метод лечения.
Оперативное вмешательство со вскрытием черепной коробки
Процедура производится под общим наркозом, после чего вскрывают черепную коробку и иссекают саму опухоль.
Это возможно только в том случае, когда новообразование находится условно на поверхности головного мозга, что при удалении не вызовет травматизациикрупных сосудов и мягких тканей органа и не спровоцирует кровотечение.
Если речь идет о небольших опухолях, не склонных к росту, то операции можно избежать до того момента, пока они не будут явной угрозой для жизни человека.
Хирургическое вмешательство производится только после того, как будут получены все данные, и предполагаемые риски окажутся ниже ожидаемого успеха.
Осложнения могут быть связаны с попаданием инфекции в оболочки головного мозга, что не исключено при вскрытии черепной коробки.
В остальном операция имеет хорошие прогнозы.
Искусственная закупорка
Эмболия гемангиомы производится в том случае, когда она располагается в зоне досягаемости. Суть метода в том, что с помощью ультратонкого катетера проникают внутрь опухоли и вводят в ее полость склерозирующее вещество, под воздействием которого происходит закупорка сосудов, питающих гемангиому. Метод является одним из наиболее успешных, но не менее рискованных, так как нет стопроцентной гарантии, что эмболия поможет закупорить сосуд.
Противопоказана процедура при наличии крупных опухолей, а также гемангиом, расположенных непосредственно в глубоких слоях головного мозга, прокол которых даже сверхтонкими катетерами может спровоцировать развитие кровотечения или инфекционного воспаления.
Осложнением выступает высокая вероятность попадания инфекции, а также отсутствует полная гарантия формирования плотного кровяного сгустка.
Очень многое зависит от состояния крови пациента, в частности коагуляции.
Радиохирургия

Процедура показана всем без исключения, однако отличается своей дороговизной и продолжительностью терапии.
Противопоказаний как таковых нет. Все зависит от организма человека и его восприимчивости к лучам.
Осложнения могут развиваться не от самой процедуры, а непосредственно от прогрессирования опухоли.
Прогноз
При наличии маленькой опухоли, не склонной к росту и расположенной на поверхности головного мозга, прогноз самый благоприятный. Патология поддается лечению, ее риски в современной медицине сводятся к минимуму.
Кавернозные гемангиомы, достигающие крупных размеров, могут в любой момент спровоцировать развитие внутричерепного кровотечения, что повлечет за собой летальный исход. Это еще раз подчеркивает необходимость профилактического медицинского обследования, даже когда никаких тревожных симптомов нет.
Неблагоприятный прогноз отмечается в том случае, когда опухоль располагается внутри жизненно важных отделов головного мозга и удалить ее без последствий для жизни невозможно.
Рекомендуем посмотреть следующее видео
Профилактика
Существует всего три правила, которые помогут снизить вероятность развития патологии:
- Вести здоровый образ жизни, избегая травм головы;
- Не лечить затяжную головную боль подручными средствами, а идти за помощью к врачу;
- Ежегодно проходить плановую диспансеризацию при отсутствии тревожных симптомов и не игнорировать необходимость обследования, когда предпосылки к образованию гемангиомы все же есть.
Нельзя сказать, что при соблюдении этих правил гемангиома мозга никогда не проявится.
Это не так, однако это поможет выявить наличие недуга на ранних стадиях, что значительно облегчит лечение.
Таким образом, гемангиома головного мозга является опасным новообразованием, требующим постоянного контроля. На сегодняшний день патология успешно лечится и оперируется, имея самые благоприятные прогнозы. Однако не стоит забывать про раннюю диагностику. Чем раньше выявлен недуг, тем больше шансов его побороть без особого вреда для здоровья.
Вопрос-ответ
Чем опасна гемангиома у взрослых?
Чем опасна гемангиома? Несмотря на свой доброкачественный характер, опухоль представляет серьезную опасность для человека. Увеличиваясь в размерах, она разрушает органы и ткани, в результате чего возможны осложнения: появление язвы, атрофия тканей, кровотечения, нарушение работы органов и др.
Как исчезает гемангиома у взрослых?
Гемангиома у взрослого человека может лечиться одним из следующих способов: криодеструкция — воздействие на опухоль сверхнизких температур. Опухоль как бы замораживается, после чего она отмирает и исчезает. Обычно для этой процедуры применяется жидкий азот, который славится своей низкой температурой.
Почему с гемангиомой отправляют к онкологу?
Необходимо различать сосудистую опухоль и другие образования: медиальное пятно, невусы, купероз и т. д. Поэтому при обнаружении любых пятен, пятнышек, сосудиков на тельце малыша незамедлительно обращаться к специалистам-детским хирургам, онкологам.
Советы
СОВЕТ №1
Перед тем как принимать какие-либо решения о лечении гемангиомы головного мозга, обязательно проконсультируйтесь с опытным неврологом или нейрохирургом. Они помогут вам понять все возможные варианты и риски, а также предложат индивидуальный план действий.
СОВЕТ №2
Регулярно проходите медицинские обследования и МРТ, если у вас уже диагностирована гемангиома. Это поможет отслеживать изменения в состоянии опухоли и вовремя реагировать на возможные осложнения.
СОВЕТ №3
Обратите внимание на свое общее состояние здоровья. Здоровый образ жизни, включая правильное питание, физическую активность и отказ от вредных привычек, может помочь укрепить иммунную систему и улучшить общее самочувствие.
СОВЕТ №4
Не стесняйтесь искать поддержку у близких или групп поддержки для людей с подобными диагнозами. Эмоциональная поддержка и обмен опытом могут значительно облегчить процесс лечения и адаптации к новым условиям жизни.

