Содержание
Гемангиома является доброкачественным новообразованием, состоящим из мелких сосудов, сплетенных между собой. Эта опухоль может возникать в любых внутренних органах, оказывая повышенное воздействие на их работоспособность. В каких случаях развивается гемангиома селезенки, как эта опухоль диагностируется и лечится — рассмотрим далее.
Виды
Выделяют несколько разновидностей гемангиом, встречающихся в селезенке:
- Капиллярная – характеризуется наличием ровных очертаний, при увеличении можно выявить массу мелких кровеносных сосудов. Отличается высокой вероятностью роста в размерах, что негативно сказывается на работе селезенки.
- Кавернозная – имеет неровные, бугристые и рваные очертания неправильной формы. Состоит из каверн крупных сосудов, заполненных кровью и плотно переплетенных между собой. Имеет изначально крупные размеры, которые практически не увеличиваются или увеличиваются, но крайне медленно.
- Смешанная – состоит из мелких и крупных сосудов, сплетенных между собой, а также каверн. В местах локализации капилляров высока вероятность увеличения опухоли в размерах, а также стремительного ее роста и приобретения неправильной формы.
Наиболее опасной опухолью является кавернозная, поскольку она внутри полая и питается кровью сразу нескольких крупных сосудов.
При наличии внушительных размеров новообразование становится более упругим, поэтому при сильном ударе брюшной полости может возникать его разрыв, что влечет за собой формирование обширного внутреннего кровотечения и летальный исход. Однако именно этот вид опухоли способен самостоятельно регрессировать вплоть до полного исчезновения, что нельзя сказать про капиллярную гемангиому.
Врачи отмечают, что гемангиома селезенки является доброкачественной сосудистой опухолью, которая, как правило, не вызывает серьезных симптомов и часто обнаруживается случайно при проведении ультразвукового исследования или компьютерной томографии. Специалисты подчеркивают, что большинство пациентов не требуют лечения, так как опухоль может не увеличиваться в размерах и не влиять на функцию органа. Однако в редких случаях, когда гемангиома достигает значительных размеров или вызывает симптомы, такие как боль или увеличение селезенки, может потребоваться хирургическое вмешательство. Врачи рекомендуют регулярное наблюдение за состоянием пациента, чтобы своевременно выявить возможные изменения. Важно также учитывать индивидуальные особенности каждого случая, так как подход к лечению может варьироваться.

Группы и факторы риска
Установлено, что заболевание чаще всего проявляется у мужчин 35-45 лет, однако недуг с похожей периодичностью может диагностироваться и у детей, и у женщин.
Определить, почему именно это происходит, с точностью не удается.
Для этого существует ряд взаимосвязанных причин, которые могут в совокупности формировать следующие факторы риска:
- Малоподвижный образ жизни, приводящий к формированию застойных процессов в органах брюшной полости.
- Злоупотребление алкоголем и табакокурением, которые при длительном воздействии оказывают пагубное воздействие не только на печень, но и на селезенку.
- Неправильное питание с преобладанием вредных продуктов и сладких газированных напитков.
- Проживание в местах повышенной радиоактивности.
- Травмы брюшной полости, являющиеся вариантом нормы при занятиях спортом.
Также в группу риска попадают люди, которые длительное время вынуждены контактировать с вредными химикатами, отравляющими организм. Все это оказывает повышенную нагрузку на селезенку, поэтому способствует развитию гемангиомы.
Установлено, что гемангиома может проявляться в пределах одной семьи, то есть предрасположенность к ее образованию передается по наследству.
Что происходит в организме?
Под воздействием внешних факторов, оказывающих негативное воздействие на состояние и работоспособность селезенки, могут образовываться незначительные опухоли, состоящие из кровеносных сосудов. Если же патогенное воздействие продолжается, высока вероятность стремительного роста опухолей.
Гемангиома селезенки — это доброкачественная опухоль, которая возникает из сосудистой ткани органа. Многие люди, столкнувшиеся с этой проблемой, отмечают, что первоначально не испытывают никаких симптомов, и заболевание часто выявляется случайно при проведении ультразвукового исследования. Однако, по мере роста опухоли, могут возникать боли в левом подреберье, чувство тяжести и даже увеличение селезенки.
Некоторые пациенты делятся опытом, что после диагностики они испытывают страх и неуверенность, так как не знают, как это повлияет на их здоровье. Важно отметить, что в большинстве случаев гемангиомы не требуют лечения, если не вызывают осложнений. Тем не менее, врачи рекомендуют регулярное наблюдение, чтобы контролировать состояние. Обсуждая свои переживания, люди подчеркивают важность общения с медицинскими специалистами и получения информации о заболевании, что помогает снизить уровень тревожности и лучше понять, что происходит с их организмом.

Симптомы и признаки

Как показывает статистика, в 75% всех случаев новообразование диагностируется либо случайно, при проведении УЗИ органов брюшной полости, либо при внушительных размерах новообразования.
Поэтому уместно рассмотреть все симптомы и признаки, которые могут указывать на наличие проблем с селезенкой, в том числе связанных с наличием гемангиомы.
Начальные
Пока опухоль не достигла более 3 см в диаметре, ее влияние на селезенку и близлежащие органы минимально. Внешние клинические проявления могут полностью отсутствовать или быть размытыми, то есть характерными не для одной конкретной болезни, а для нескольких. Заподозрить проблемы с селезенкой и обратиться к врачу следует после появления таких признаков:
- повышенная утомляемость;
- появление тяжести в левом подреберье, что проявляется преимущественно после еды;
- отсутствие аппетита;
- частые респираторные заболевания.
Начальные признаки в большинстве случаев остаются без внимания пациента, поэтому болезнь может прогрессировать, давая новые клинические проявления.
Основные
Когда гемангиома достигает внушительных размеров, происходит сдавливание крупных сосудов не только самой селезенки, но и органов, находящихся в непосредственной близости. Это может проявляться такой симптоматикой, как:
- резкое снижение иммунитета;
- появление критически низких показателей гемоглобина в анализе крови;
- острые боли в левом подреберье, иррадиирующие в лопатку и плечо;
- ощущение инородного тела под ребрами, что проявляется при движении корпусом;
- исчезновение аппетита;
- нарушения пищеварительной системы.
Основным показателем, указывающим на проблемы с селезенкой, является острая боль левого подреберья, локализованная в области пупка.
Она усиливается при движении или пальпации.
Запущенные
При наличии прогрессирующего заболевания состояние человека стремительно ухудшается. Проявляются такие симптомы, как:
- острая боль в левом подреберье;
- синюшность кожных покровов вокруг пупка;
- повышение температуры тела, озноб;
- признаки общей интоксикации;
- присоединение рвоты с пеной;
- полное отсутствие аппетита на протяжении недели;
- желтушность склер глаз;
- резкая потеря в весе;
- понос с примесями крови.
Запущенные стадии заболевания — самые опасные, поскольку при любых надавливаниях или резких перепадах давления в брюшной полости гемангиома может лопнуть, спровоцировав обширное внутреннее кровотечение.
Данная ситуация в большинстве случаев влечет за собой летальный исход, особенно если речь идет о кавернозной гемангиоме.
Диагностика
Для постановки более точного диагноза, который поможет ответить на все интересующие вопросы, потребуется комплексная диагностика. С ее помощью можно определить не только тип новообразования, локализацию и структуру, но и разработать наиболее эффективное лечение, основываясь на индивидуальных особенностях организма.
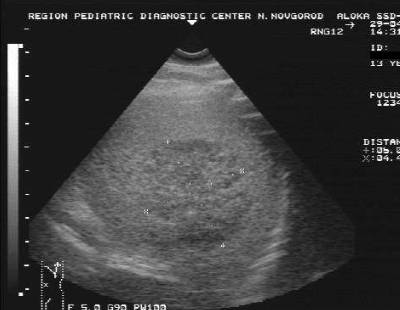
УЗИ

К сожалению, больше никаких данных данная процедура предоставить не может, однако с ее помощью можно точно оценить, кавернозная эта гемангиома или капиллярная, как близко она находится к основным важным сосудам и какую угрозу несет собой для жизни.
УЗИ производят на голодный желудок, а для получения более точных результатов плоскость положения тела пациента может меняться.
Полученные данные являются основой для диагностики, но если их недостаточно, прибегают к помощи более информативного метода – МРТ.
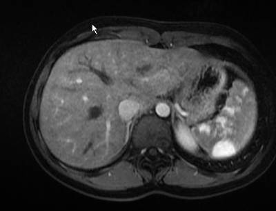
МРТ
Использование контрастного вещества помогает более точно оценить опухоль, а также дифференцировать ее именно в гемангиому. С помощью МРТ можно не только составить прогноз на лечение и выздоровление, но и предположить, почему опухоль сформировалась именно в селезенке и какие факторы этому способствовали.
Магнитно-резонансная томография, также как и компьютерная томография, на сегодняшний день является наиболее точной диагностической процедурой, позволяя выявлять даже опухоли начальных стадий, диаметр которых едва достигает 3,5 мм. Недостатком процедуры является ее относительно высокая стоимость, а также наличие некоторых противопоказаний.
Анализ крови
Для гемангиомы начальных этапов несвойственно образование воспалительного процесса, поэтому уровень лейкоцитов останется на прежнем уровне. Пациента должно насторожить стремительное увеличение уровня лимфоцитов, который при запущенных стадиях может достигать трехзначных цифр.
Уровни гемоглобина, эритроцитов и тромбоцитов могут находиться в пределах нормы даже в самых запущенных случаях. При наличии кровоточивости гемангиомы все показатели крови будут отличаться от нормы.
Лейкоцитарная формула укажет на наличие прогрессирующего воспаления, когда ткани селезенки под давлением опухоли начнут перерождаться.
Анализы костного мозга
Биопсия спинномозговой жидкости может быть в пределах нормы, а саму процедуру назначают исключительно в том случае, когда вероятность развития онкологического заболевания превышает 25%.
В некоторых случаях анализы костного мозга могут подтвердить наличие именно рака, в то время как другие методы диагностики будут указывать на наличие именно гемангиомы.
Этот факт заставляет прибегать к комплексной диагностике, исключающей возможные сопутствующие заболевания.
Биопсия
Наличие гемангиомы или предположение о ее наличии является достоверным поводом для невозможности проведения биопсии опухоли. Данная процедура предполагает забор вещества из полости новообразования, что помогает оценить его природу.
В случае с гемангиомой любые вмешательства, предполагающие нарушение ее целостности, могут спровоцировать развитие внутреннего кровотечения.
Компьютерная томография
С помощью этого метода исследования есть возможность оценить состояние опухоли, ее прогрессирование и тип. Процедура схожа с МРТ, однако методика КТ базируется на воздействии рентгеновских лучей, при правильном направлении и кольцевании которых получается трехмерное изображение исследуемой области тела.
Ангиография
Методика предполагает введение в сосуды контрастного вещества, которое помогает визуализировать новообразование.
Этот метод является одним из ключевых в диагностике гемангиом и их дифференциации от онкологических опухолей.

- Бесконтрастный – селезенку осматривают без введения вещества, что позволяет лишь визуально осмотреть опухоль.
- Контрастный – орган осматривают после введения контраста, оценивая его распределение и реакцию.
Оценка промежуточных значений является одной из самых главных методик при диагностике гемангиомы, особенно если имеет место быть именно кавернозная форма.
Лечение
Терапия подбирается в индивидуальном порядке, поэтому невозможно разработать план лечения, который бы подходил всем категориям пациентов. При этом учитываются не только особенности опухоли, ее размеры и степень запущенности недуга, но и индивидуальные особенности самого пациента, возраст и наличие хронических заболеваний.
Выжидательная тактика
В том случае, когда гемангиома имеет незначительные размеры и диагностируется у пациентов, не попадающих в группу риска, никакой терапии не требуется. Чтобы поддерживать здоровье селезенки, достаточно следовать рекомендациям специалиста, а также периодически проходить плановую диагностику.
Более радикальные методы лечения применимы только в критических ситуациях, когда опухоль имеет внушительные размеры, мешает работе селезенки и других близлежащих органов, а также высока вероятность ее разрыва с дальнейшим развитием внутреннего кровотечения.
Хирургия
Показаниями для проведения хирургической операции, которая предполагает удаление новообразования, являются:
- инфаркт сосудов селезенки, что требует немедленной операции с возможной резекцией всего органа;
- острые, постоянные боли, которые мешают человеку спокойно жить;
- размеры опухоли более 8 см в диаметре;
- локализация гемангиомы в непосредственной близости к крупным кровеносным сосудам селезенки.
В том случае, когда гемангиом несколько и все они активно растут, может назначаться резекция всей селезенки.
Орган удаляют через разрез в брюшной полости, после чего пациент проходит соответствующую реабилитацию и возвращается к полноценной жизни.
Противопоказана хирургическая операция в нескольких случаях:
- критически низкие показатели тромбоцитов, что влечет за собой плохую свертываемость крови;
- наличие онкологического заболевания в организме, при котором любые вмешательства могут послужить провокатором активного роста раковых клеток;
- старческий возраст и наличие хронических заболеваний;
- инфекционные заболевания (очаговые).
Осложнения, которые могут сопровождать спленэктомию, следующие:
- развитие острого кровотечения;
- попадание в брюшную полость инфекции;
- образование кровяных сгустков в венах и артериях, питающих орган.
Прежде чем назначать удаление селезенки, врач должен подготовить пациента.
Иногда это единственный способ вернуть человеку жизнь без боли, но прежней она уже не будет никогда.
Другие методы лечения и помощи

- Химиотерапия и лучевая терапия – блокируют рост сосудистых клеток, а также способствуют их уменьшению и полному исчезновению гемангиомы.
- Лапароскопия – удаление органа производится не через разрез в брюшине, а через прокол лапароскопа, что позволяет сделать иссечение более аккуратным, а целостность брюшины снижает риски попадания инфекции из окружающей среды.
Выбор метода и тактики лечения варьируется в зависимости от индивидуальных особенностей пациента.
Прогноз
В том случае, когда новообразование небольшого размера и не влияет на работоспособность селезенки, прогноз самый благоприятный. Человек может прожить с опухолью всю жизнь, не чувствуя никакого дискомфорта. Опасность представляют собой большие опухоли, которые в динамике отличаются постоянным ростом и увеличением в размерах. Высока вероятность развития инфаркта сосудов селезенки, поэтому единственным способом лечения является спленэктомия.
Даже после удаления органа отмечается благоприятный прогноз, однако больному придется придерживаться некоторых рекомендаций специалиста. Продолжительность жизни никак не связана с наличием гемангиомы, если ее размеры и динамика незначительны.
Куда хуже дела обстоят с крупными опухолями, которые в любой момент могут спровоцировать развитие масштабного внутреннего кровотечения и летального исхода.
Последствия
В практике существует два варианта развития ситуации:
- Гемангиома не растет и не представляет опасности для жизни и здоровья, но требует постоянного контроля.
- Гемангиома растет, поэтому требуется удаление селезенки, после чего человек может вернуться к привычной жизни.
Жизнь без селезенки несколько отличается от обычной, однако этот вариант намного лучше, чем ежедневно бояться, что опухоль разорвется от неловкого движения и станет причиной летального исхода.
Рекомендуем посмотреть видео про гемангиому

Профилактика
Поскольку достоверно не установлено, что именно является причиной развития данного заболевания, то единственным методом профилактики является ведение здорового образа жизни и плановая диагностика органов брюшной полости.
Таким образом, гемангиома селезенки может длительное время протекать бессимптомно, а обнаруживаться случайно. В связи с этим рекомендуется проходить плановое обследование, что помогает выявить наличие заболевания на ранней стадии.
Симптомы и лечение могут отличаться в зависимости от конкретного случая, поэтому метод терапии подбирает врач.
Самолечение не только неэффективно, но и опасно для жизни.
Вопрос-ответ
Что такое гемангиома селезенки и как она образуется?
Гемангиома селезенки — это доброкачественная опухоль, состоящая из кровеносных сосудов. Она образуется в результате аномального роста сосудистых клеток, что может быть связано с генетическими факторами или нарушениями в процессе эмбрионального развития. Чаще всего такие опухоли обнаруживаются случайно при проведении ультразвукового исследования или компьютерной томографии.
Какие симптомы могут указывать на наличие гемангиомы селезенки?
В большинстве случаев гемангиомы селезенки не вызывают никаких симптомов и не требуют лечения. Однако, если опухоль становится достаточно большой, это может привести к болям в левом подреберье, ощущению тяжести, а также к увеличению селезенки. В редких случаях может возникнуть разрыв гемангиомы, что приведет к внутреннему кровотечению и потребует неотложной медицинской помощи.
Как диагностируется гемангиома селезенки?
Диагностика гемангиомы селезенки обычно начинается с физикального осмотра и анализа симптомов. Для подтверждения диагноза используются визуализирующие методы, такие как ультразвуковое исследование, компьютерная томография (КТ) или магнитно-резонансная томография (МРТ). Эти методы позволяют точно определить размер и расположение опухоли, а также исключить другие возможные заболевания.
Советы
СОВЕТ №1
Если у вас диагностирована гемангиома селезенки, обязательно проконсультируйтесь с опытным специалистом. Важно получить второе мнение, чтобы убедиться в правильности диагноза и выборе метода лечения.
СОВЕТ №2
Следите за своим состоянием и обращайте внимание на любые изменения в самочувствии. Симптомы, такие как боль в левом подреберье или увеличение селезенки, могут указывать на необходимость срочной медицинской помощи.
СОВЕТ №3
Изучите доступные методы лечения гемангиомы селезенки, включая наблюдение, медикаментозную терапию и хирургическое вмешательство. Обсудите с врачом, какой подход будет наиболее подходящим в вашем случае.
СОВЕТ №4
Поддерживайте здоровый образ жизни: сбалансированное питание, регулярные физические нагрузки и отказ от вредных привычек помогут укрепить иммунную систему и улучшить общее состояние здоровья.

