Содержание
Злокачественное поражение лимфоузлов называется лимфогранулематоз. Болезнь встречается довольно часто в детском возрасте. Лимфогранулематоз у детей диагностируется в 5% всех случаев онкологии.
Что это такое
Лимфогранулематоз (лимфома Ходжкина) — это раковое поражение лимфатической системы, при котором происходит набухание лимфоузлов из-за клеток Рид-Березовского-Штенберга. У больного в крови преобладают лимфоциты Т-типа. Заболевание чаще встречается у мальчиков, чем у девочек. Средний возраст заболевших — 6-14 лет.
В возрасте до 6 лет лимфогранулематоз практически не встречается.

- Лимфогистиоцитарный тип. Встречается в 15% случаев лимфомы Ходжкина. Имеет низкую степень злокачественности.
- Смешанноклеточный тип. Встречается чаще всего, обладает высокой злокачественностью.
- Подавляющий лимфоидную ткань. Встречается очень редко, характеризуется полным отсутствием лимфоцитов в крови.
Лимфома Ходжкина у детей проходит 4 стадии:
- 1 стадия. Раковые клетки находятся в лимфоузлах одного вида.
- 2 стадия. Поражены лимфатические узлы двух областей.
- 3 стадия подразделяется на 2:
- 3.1. злокачественный процесс поражает лимфоузлы в верхней части брюшной полости;
- 3.2. злокачественный процесс поражает лимфоузлы в нижней части брюшной полости (в малом тазу).
- 4 стадия. Болезнь поражает другие органы и системы (головной мозг, почки, печень).
Врачи подчеркивают важность ранней диагностики лимфогранулематоза у детей, так как это заболевание может проявляться различными симптомами, включая увеличение лимфатических узлов, лихорадку и потерю веса. Специалисты отмечают, что своевременное обращение к врачу и проведение необходимых исследований, таких как УЗИ и биопсия, могут значительно повысить шансы на успешное лечение. Важно помнить, что лимфогранулематоз, хотя и является серьезным заболеванием, поддается лечению, особенно на ранних стадиях. Врачи рекомендуют родителям быть внимательными к состоянию здоровья детей и не игнорировать тревожные симптомы. Психологическая поддержка и информирование семьи о процессе лечения также играют ключевую роль в восстановлении.

Как развивается заболевание
Лимфогранулематоз у детей начинается с поражения шейных или надключичных лимфоузлов, которые могут то увеличиваться, то уменьшаться в размерах. Затем рак распространяется на подмышечные и паховые лимфатические узлы. На 3-4 стадиях в процесс вовлекаются, в первую очередь, селезенка, печень, костный мозг. Легкие и почки страдают значительно реже, примерно в 10% случаев.
При больших опухолях нарушается работа нервной системы из-за сдавления спинномозговых корешков.
Посмотрите видео на эту тему

Причины

- длительное воздействие высоких доз радиации (проживание в неблагоприятной зоне или лечение других видов рака);
- мутации генов, провоцирующие неправильное развитие лимфоидной ткани.
Также существуют теории вирусного и туберкулезного происхождения лимфогранулематоза, но они пока не получили научного обоснования.
В группе риска находятся дети, у которых диагностировано врожденное поражение иммунной системы (ВИЧ, синдром Луи Бара).
Лимфогранулематоз у детей — это серьезное заболевание, которое вызывает много вопросов и беспокойства у родителей. Многие говорят о том, что ранняя диагностика играет ключевую роль в успешном лечении. Симптомы, такие как увеличение лимфатических узлов, постоянная усталость и потеря веса, могут быть тревожными знаками. Родители часто делятся своими историями о том, как они заметили изменения в состоянии своих детей и обратились к врачам. Важно помнить, что не все увеличенные лимфоузлы означают наличие болезни, но консультация с педиатром всегда необходима. Обсуждая лечение, многие отмечают, что современные методы терапии, включая химиотерапию и радиотерапию, значительно увеличивают шансы на выздоровление. Поддержка со стороны семьи и друзей также играет важную роль в процессе восстановления.

Симптомы
Симптомы лимфогранулематоза у детей на начальной стадии отсутствуют. Первым признаком является безболезненное увеличение лимфоузлов на шее или над ключицей. Позже присоединяются следующие проявления:
- вялость, утомляемость;
- субфебрильная температура;
- повышенное ночное потоотделение;
- головные боли;
- плохой аппетит;
- снижение веса;
- тахикардия;
- частые простудные заболевания.
По мере прогрессирования болезни у детей наблюдаются следующие признаки лимфогранулематоза:
- скованность мышц, плохая подвижность суставов;
- увеличение печени и селезенки;
- кожный зуд;
- беспричинный кашель.
Диагностика
Диагностика начинается с осмотра пациента и сбора анамнеза.
Точно установить диагноз на основе жалоб ребенка нельзя, так как симптомы лимфогранулематоза не являются специфичными.
Для уточнения диагноза используют лабораторные и инструментальные методы исследования.
Общий и биохимический анализ крови
В крови больного диагностируются следующие отклонения:
- снижение почти до нуля количества лимфоцитов;
- повышение СОЭ, лейкоцитов;
- повышенное число нейтрофилов, эозинофилов;
- анемия;
- тромбоцитопения;
- снижение сывороточного железа.
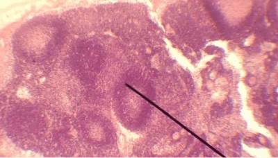
Гистология ткани лимфатического узла

- лимфоидная ткань замещается другими клетками;
- в клетках ядро значительно больше нормы;
- большое количество клеток Ходжкина;
- очаги некроза в узлах.
Исследование крови на антиген
При лимфогранулематозе выявляются антигены СD-15 и CD-30.
УЗИ и рентген лимфоузлов и внутренних органов
Это исследование помогает определить размер, структуру, поражение других органов.
МРТ и КТ
Томография обнаруживает лимфомы в органах на начальной стадии.
Исследование иммунной системы
С помощью анализа определяют стадию заболевания в зависимости от состояния иммунитета больного.
Сцинтиграфия с галлием
Это метод радиоизотопного сканирования.
Галлий является контрастом, который скапливается вокруг злокачественных новообразований.
Другие методы
При подозрении на поражение головного мозга проводят трепанобиопсию. Лапароскопическое исследование селезенки (спленэктомия). Также исследуют сердце с помощью ЭКГ и УЗИ на предмет поражения раковыми клетками.
Лечение
Лимфогранулематоз у детей лечится следующими методами:
- Химиотерапия.
- Лучевая терапия.
- Хирургическое вмешательство.
Полихимиотерапия
Полихимиотерапия призвана уничтожить раковые клетки и остановить их размножение. Для этого применяют в комплексе следующие препараты:




Все препараты полихимиотерапии оказывают токсическое действие на организм, угнетают функции костного мозга.
Побочными эффектами применения химпрепаратов являются:
- тошнота, рвота;
- расстройство пищеварения;
- боли в животе;
- головные боли;
- потеря волос;
- снижение веса;
- ухудшение аппетита;
- тромбоцитопения;
- лейкопения;
- некротические поражения тканей;
- угнетение иммунитета.
Симптоматическое лечение
Для уменьшения негативных симптомов применяют средства симптоматической помощи.
Это противорвотные средства, ферменты, повышающие иммунитет, диуретики.



Таргентная терапия
Это воздействие на опухоль препаратами, которые разрушают раковые клетки, но не трогают здоровые. Они наносят меньший вред организму, по сравнению с традиционной химиотерапией. Основные таргентные средства, одобренные для лечения лимфомы: Кейтруда, Адцетрис. Из минусов данных средств можно отметить их высокую стоимость. Цена одной ампулы — 18000 рублей.
Хирургическое лечение
Хирургическое лечение возможно, если раковые клетки поразили один лимфоузел. На ранней стадии заболевания пораженный лимфоузел удаляют.
Затем за ребенком ведут динамическое наблюдение. Если симптомы не возвращаются, то другого лечения не назначают.
При рецидиве показана химиотерапия.
Трансплантация костного мозга
При лимфоме высокой степени злокачественности пересадка костного мозга является единственным шансом на продление жизни. Трансплантацию проводят после успешной химиотерапии. Таким образом достигается стойкая ремиссия, а иногда и полное выздоровление.
Облучение
Рентгенологическое облучение лимфоузлов проводят на поздних стадиях болезни. Обычно этот метод сочетают с химиотерапией.
Так удается достичь наибольшего эффекта.
До недавнего времени широко применялось воздействие на раковую опухоль препаратами радиоактивного фосфора. Этот метод оказывает сильнейшее токсическое действие на организм ребенка, угнетая функции кроветворения. Поэтому данный способ лечения показан на последней стадии болезни.
Народные средства
Народная медицина является вспомогательной для терапии лимфогранулематоза у детей. Народные средства применяют после химиотерапии в период стойкой ремиссии. Обычно используют травы и растения, которые повышают иммунитет.
Это могут быть: отвары игл хвойных деревьев, мумие, женьшень, сок алоэ.
Какие клиники специализируются на лечении
На сегодняшний день лимфогранулематоз у детей успешно лечат в отечественных клиниках. Курс химиотерапии можно пройти в следующих клиниках:
- Европейская клиника Москвы. Стоимость курса — 18000 рублей без учета стоимости лекарств.
- Лечебно-реабилитационный центр Минздрава. Химиотерапия здесь стоит — 15000 рублей, лучевая терапия — 7000 рублей.
- Онкологический центр имени Блохина. Стоимость химиотерапии в данной клинике — 13000-15000 рублей, лучевой терапии — 5000-7000 рублей.
Прогноз
Прогноз лечения зависит от стадии, на которой оно начато. При ранней терапии полностью излечиваются 90% пациентов. На более поздней стадии выживаемость снижается до 70%. В этом случае значительно повышается риск рецидива. Неблагоприятным прогноз считается, если рецидив произошел в течение года после лечения и если заболевание плохо поддается терапии и прогрессирует.
На терминальной стадии заболевание может трансформироваться в лимфосаркому, которая стремительно прогрессирует.
Смерть от лимфосаркомы наступает в течение нескольких месяцев.
Профилактика
Профилактика лимфомы подразделяется на первичную и вторичную. Первичная заключается в предупреждении возникновения недуга. Для этого следует избегать радиационного воздействия, укреплять иммунитет, своевременно лечить инфекционные болезни, регулярно проходить флюорографию.
Вторичная профилактика направлена на предотвращение рецидива лимфомы. Для этого пациента ставят на учет к онкологу. Ребенок проходит обследование каждые три месяца в первый год и каждые полгода во второй и третий год. Затем обследуются раз в год.
Лимфогранулематоз у детей является довольно распространенной патологией.
Несмотря на успешное лечение, болезнь действует разрушительно на детский организм, вызывает серьезные осложнения.
Родителям следует быть внимательными к здоровью детей, чтобы не пропустить «первый звоночек» недуга.
Вопрос-ответ
Каковы первые признаки лимфомы у детей?
Первые признаки лимфомы у детей могут включать увеличение лимфатических узлов, особенно на шее, подмышках или в паху, необъяснимую потерю веса, ночные поты, лихорадку и усталость. Также могут наблюдаться боли в животе или грудной клетке, если опухоль давит на внутренние органы. Важно обратиться к врачу при наличии этих симптомов для своевременной диагностики.
Можно ли вылечить лимфогранулематоз?
Лимфогранулематоз относится к потенциально излечимым онкозаболеваниям. Прогноз заболевания зависит от возраста, общего состояния здоровья и возможности проведения интенсивных схем лечения.
Сколько живут с лимфогранулематозом?
Без лечения пациенты с индолентными лимфомами живут в среднем до 10 лет, с агрессивными — от нескольких месяцев до 1,5–2 лет. Неходжкинские лимфомы, первично развивающиеся в лимфоузлах, называются нодальными, в других органах — экстранодальными.
Советы
СОВЕТ №1
Обратите внимание на симптомы. Лимфогранулематоз может проявляться в виде увеличения лимфатических узлов, усталости, потери веса и ночной потливости. Если вы заметили у ребенка подобные симптомы, не откладывайте визит к врачу.
СОВЕТ №2
Регулярно проходите медицинские осмотры. Профилактические осмотры у педиатра помогут выявить возможные проблемы на ранних стадиях. Это особенно важно, если в вашей семье были случаи лимфогранулематоза или других онкологических заболеваний.
СОВЕТ №3
Обсуждайте с врачом все доступные варианты лечения. Лимфогранулематоз у детей может требовать различных подходов, включая химиотерапию и радиотерапию. Убедитесь, что вы понимаете все аспекты лечения и возможные побочные эффекты.
СОВЕТ №4
Поддерживайте эмоциональное состояние ребенка. Диагноз может быть стрессовым как для ребенка, так и для родителей. Обеспечьте поддержку и понимание, а также рассмотрите возможность обращения к психологу для помощи в адаптации к ситуации.


