Содержание
Эритремия считается редкой болезнью. Несмотря на то, что она относится к категории злокачественных, больной эритремией может жить достаточно долго, при условии соблюдения врачебных рекомендаций.
Впервые об этом заболевании в конце 19 века заговорили ученые Вакез и Ослер. Поэтому второе название эритремии — болезнь Вакеза-Ослера.
Распространенность патологии

Примерно у 2/3 заболевших повышаются лейкоциты и тромбоциты.
Заболевание диагностируется нечасто (не более 5 случаев на 100 миллионов человек в год). В основном, ему подвержены мужчины после 60 лет.
По МКБ 10 болезнь Вакеза имеет код D45 и относится к группе хронических лейкозов.
Врачи отмечают, что эритремия, или полицитемия, представляет собой состояние, характеризующееся повышенным уровнем эритроцитов в крови. Это может привести к увеличению вязкости крови и, как следствие, к риску тромбообразования. Специалисты подчеркивают важность ранней диагностики, так как симптомы могут быть неявными и включать головные боли, усталость и покраснение кожи. Врачи рекомендуют регулярные обследования, особенно для людей с предрасположенностью к этому заболеванию. Лечение может варьироваться от флеботомии до медикаментозной терапии, в зависимости от степени тяжести состояния. Важно, чтобы пациенты следовали рекомендациям врачей и не игнорировали симптомы, так как это может привести к серьезным осложнениям.

Классификация
В зависимости от течения болезни истинная полицитемия бывает двух видов:
- острая эритремия (эритролейкоз);
- хроническая эритремия.
Также следует различать две формы болезни: истинную и ложную.
- Истинная полицитемия характеризуется стойким повышением числа эритроцитов.
- Ложная (относительная) эритремия. Что это такое? Патология развивается из-за обезвоженности. Объем эритроцитарной массы не меняется, но происходит снижение объема плазмы. Данное состояние является обратимым.

- Первичной. Возникает вследствие нарушения развития клетки миелоцита.
- Вторичной. Является результатом некоторых заболеваний (порок сердца, гидронефроз, тяжелый бронхит, опухоль гипофиза). Также эритремия крови может быть спровоцирована курением, резким подъемом на высоту, обширными ожогами. У ребенка вторичная эритремия является результатом потери жидкости при рвоте и диарее.
Что происходит в организме
Истинная полицитемия начинает развиваться вследствие генных мутаций. В крови присутствуют нормальные эритроциты и их клоны. Клетки-мутанты не поддаются регулировке процесса кроветворения. Они начинают бесконтрольно размножаться, количество эритроцитов крови значительно превышает норму.
Постепенно здоровые кровяные клетки вытесняются мутированными, в итоге в крови не остается нормальных эритроцитов.
Посмотрите видео на эту тему

Эритремия, или полицитемия, вызывает интерес и обсуждения среди медиков и пациентов. Многие отмечают, что это заболевание, связанное с повышением уровня красных кровяных клеток, может проявляться различными симптомами, такими как головные боли, покраснение кожи и повышенная утомляемость. Люди делятся своими историями о том, как им удалось справиться с недугом, и подчеркивают важность ранней диагностики. Некоторые пациенты отмечают, что изменения в образе жизни, включая диету и физическую активность, помогли им улучшить состояние. В то же время, врачи акцентируют внимание на необходимости регулярного мониторинга и лечения, чтобы избежать осложнений. Обсуждения на форумах и в социальных сетях помогают создать сообщество поддержки, где люди могут обмениваться опытом и получать полезные советы.

Стадии болезни
Болезнь Вакеза в своем развитии проходит следующие стадии:
- Начальная. Не дает никакой симптоматики, может длиться годами. В крови больного диагностируется умеренное повышение эритроцитов и гемоглобина.
- Эритремическая. В этот период значительно увеличивается число эритроцитов, образовавшихся из патологических клеток. Затем повышается число тромбоцитов и лейкоцитов. Вязкость крови повышается, органы переполняются кровью. Из тромбоцитов образуются пробки, которые закрывают просвет сосудов.
- Анемическая. В костном мозге кроветворные клетки замещаются фиброзной тканью. В результате количество тромбоцитов, эритроцитов и лейкоцитов падает до минимума. Печень и селезенка начинают вырабатывать кровь. Это может быть компенсаторной реакцией или результатом попадания в эти органы патологических клеток, где они начинают усиленно размножаться. Исход эритремии на анемической стадии — длительные частые кровотечения, которые трудно остановить. Они становятся причиной летального исхода.
Причины
Истинная эритремия изучается медиками уже более полутора веков. Но до сих пор точные причины патологии не установлены. Считается, что болезнь Вакеза может возникнуть в результате:
- длительного воздействия радиации;
- контакта с вредными химическими веществами (бензолом);
- приема лекарств для лечения рака (цитостатиков).
Наследственная предрасположенность

Риск появления болезни повышен у пациентов, страдающих генетическими болезнями (синдромом Дауна, Марфана, Блума). При этих заболеваниях никаких злокачественных изменений не происходит. Но у больных наблюдается подверженность клеток, в том числе, кровяных, различным генным мутациям.
Поэтому клетки очень восприимчивы к воздействию неблагоприятных факторов.
Группы риска
Эритремия может иметь вторичный характер, то есть быть следствием других тяжелых заболеваний. В группе риска находятся пациенты со следующими патологиями:
- различными опухолями почек;
- гидронефрозом;
- опухолями гипофиза и мозжечка;
- раком печени;
- онкологией яичников.
Также эритремия может развиться у пациентов с пересаженной почкой, ожирением, хронической гипертензией.
Симптомы
Болезнь Вакеза развивается медленно, долгое время протекает бессимптомно. По некоторым внешним признакам сложно заподозрить патологию, так как начальные симптомы болезни Вакеза объясняются возрастными изменениями.

- головные боли;
- набухшие вены на шее;
- красный цвет кожи лица, шеи, склер, слизистых;
- синдром Купермана (покраснение мягкого неба при неизменном цвете твердого неба);
- кожный зуд, появляющийся после воздействия теплой воды;
- покалывание и болезненность в кончиках пальцев.
Эритремическая стадия болезни проявляется следующими симптомами:
- стойки повышением давления;
- бордовым цветом кожи:
- частичной потерей чувствительности пальцев рук и ног;
- усиливающимися болями в пальцах, мочках ушей, кончике носа;
- кровоточивостью десен;
- тупой болью в правом боку из-за увеличенной селезенки и печени;
- болями в суставах;
- синдромом «носков и перчаток», то есть кожа на кистях рук и стопах значительно отличаются по цвету;
- появлением язвы желудка, желудочными кровотечениями.
Тяжелые проявления тромбоза сосудов
На поздней стадии болезнь Вакеза характеризуется тяжелыми проявлениями тромбоза сосудов. У пациента присутствует одышка, слабость, сильные отеки. На этом этапе часто случаются инсульты и инфаркты, развивается сердечная недостаточность.
Если эритремию не лечить, она переходит в анемическую (терминальную) стадию. У пациента развивается тяжелая анемия. Это проявляется слабостью, повышенным сердцебиением, одышкой, обмороками.
Кровоизлияния в разные органы — это осложнения эритремии.
Внутренние кровотечения практически невозможно остановить, так как в крови не осталось нормальных клеток
.
Диагностика

- Анализ крови.
- Биохимия крови.
- Пункция костного мозга.
- УЗИ внутренних органов.
- Допплерография.
Анализ крови
В общем анализе крови при эритремии фиксируются отклонения следующих показателей:
- повышение числа эритроцитов, тромбоцитов, лейкоцитов;
- высокий уровень ретикулоцитов;
- сильно высокий гемоглобин;
- повышение цветового показателя;
- снижение СОЭ.
На анемической стадии все показатели падают, а СОЭ, наоборот, повышается.
Биохимия крови
Биохимический анализ крови проводят, чтобы выявить содержание таких веществ, как: железа, билирубина, мочевой кислоты, АлАТ и АсАТ (веществ, которые высвобождаются из печени при ее разрушении).
При эритремии картина биохимии следующая:
- железо — снижено;
- билирубин — повышен;
- мочевая кислота — повышена;
- АлАТ и АсАТ — повышено.
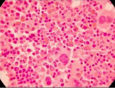
Пункция костного мозга
Это наиболее информативный метод для диагностики болезни Вакеза. С помощью иглы проводят забор спинномозговой жидкости, которую потом отправляют на микроскопию. При эритремии в костном мозге обнаруживается:
- увеличение общего числа клеток;
- раковые клетки;
- фиброзные очаги (замещения нормальных клеток фиброзной тканью).
Лабораторные маркеры
Исследуется общая железосвязывающая способность сыворотки и уровень эритропоэтина. Для этого анализа исследуют венозную кровь. У больного эритремией на начальной и эритремической стадиях ЖСС повышается, а на терминальной стадии — резко падает.
Уровень эритропоэтина снижен на начальном этапе, на анемическом этапе значительно повышается.
УЗИ
С помощью ультразвукового исследования выявляют переполненность органов кровью. Также обнаруживается изменение размеров селезенки и печени и появление фиброзных очагов в них.
Допплерография
Исследование представляет собой сканирование сосудов с помощью ультразвуковых волн. У пациентов с болезнью Вакеза кровоток в органах (печени, селезенке) сильно снижен.
Лечение
Истинная полицитемия лечится следующими методами:
- Медикаментозная терапия.
- Кровопускание.
- Диета.
Медикаментозная терапия
Лечение препаратами проводят при эритремической стадии, чтобы предотвратить серьезные осложнения в виде тромбоза.
Главная цель терапии — подавление размножения патологических клеток и приведение в норму гемоглобина.
Основные группы препаратов:
Цитостатики:



Антикоагулянты (снижающие вязкость крови)



Препараты железа



Средства, влияющие на обмен мочевой кислоты



Длительность курса
Лечение препаратами проводят под строгим контролем состояния крови. Обычно лечение продолжается 4-6 недель. После этого весь период ремиссии пациент должен постоянно принимать антикоагулянты.
Ремиссия может длиться от нескольких месяцев до нескольких лет.
Если возник рецидив, курс интенсивной терапии повторяют.
Кровопускание
В случаях, когда у больного в крови повышены только эритроциты, а другие показатели остаются в норме, целесообразно снизить количество эритроцитарной массы, чтобы нормализовать гематокрит. Для этого делают кровопускание.
Из вены производят забор примерно 400 мл крови. Процедуру проводят через день до нормализации показателей.
Эритроцитаферез
У пациента из вены берут 500 мл крови, пропускают ее через специальный аппарат, который удаляет эритроциты. Очищенную плазму вновь вводят больному.
В результате снижается уровень эритроцитов, гемоглобина, нормализуется гематокрит.
Симптоматическая терапия
Для улучшения состояния больного на всех стадиях проводят симптоматическое лечение. Оно направлено на снижение негативных проявлений болезни. Назначаются следующие препараты:
- Понижающие давление.
- Снимающие кожный зуд (антигистаминные).
- Улучшающие работу сердца.
Лечение народными средствами
Народные средства для лечения эритремии не применяются в виду их неэффективности. Единственное средство, которое можно применять в комплексной терапии — настойка коры козьей ивы.
Это растение немного понижает гемоглобин.
Диета
Для пациентов рекомендована специальная диета. Она предполагает уменьшение белковой пищи, так как мясо способствует повышению мочевой кислоты.
Нельзя употреблять:
- красное мясо;
- щавель;
- алкоголь;
- копченые продукты;
- сыр соленый;
- куриные яйца.

- каши;
- кисломолочные нежирные продукты;
- тушеные овощи;
- бобовые;
- травяные чаи.
Лечение в тяжелых случаях
На терминальной стадии болезни лечение имеет паллиативный характер. Все изменения в организме уже необратимы. Для улучшения состояния больного делают переливание крови, чтобы повысить гемоглобин. Также возможно хирургическое удаление селезенки. Печень поддерживают гепатопротекторами.
Никакие другие методы эффекта не принесут.
Возможные осложнения
Болезнь Вакеза-Ослера опасна своими осложнениями еще до наступления терминальной стадии:
- Из-за повышения свертываемости крови увеличивается риск тромбозов. Это приводит к инсультам, инфарктам, тромбоэмболии.
- При длительном переполнении печени кровью ухудшаются ее функции. Результатом становится цирроз печени. По тому же принципу происходит замена почечной ткани фиброзной. У больного развивается хроническая почечная недостаточность, которая становится причиной летального исхода.
- Варикоз — еще одно опасное осложнение. Сосуды изнашиваются, истончаются, повышается риск кровотечения.
Прогноз
Прогноз на жизнь больного при эритремии зависит от стадии, на которой заболевание было обнаружено. При своевременно начатом лечении и соблюдении всех врачебных рекомендаций большинству пациентов удается прожить более 20 лет.
Эритремия — редкое заболевание крови, которое встречается в зрелом возрасте.
В отличие от других болезней кроветворения, характеризуется неагрессивным течением. Полностью вылечить болезнь не удается, но с помощью правильно подобранного лечения возможно продлить жизнь пациента на длительный срок.
Вопрос-ответ
Что такое эритремия?
Эритремия — это злокачественное заболевание кроветворной системы, характеризующееся чрезмерной пролиферацией клеток костного мозга. Это заболевание затрагивает эритроидные, гранулоцитарные и мегакариоцитарные ростки кроветворения.
Эритремия это рак?
Эритремия (истинная полицитемия, болезнь Вакеза) — доброкачественная опухоль из клетки-предшественницы миелопоэза, характеризующаяся повышенной продукцией клеток красной крови, а также лейкоцитов и тромбоцитов. Частота заболевания — 0,6 на 100 000 населения в год.
Для эритремии характерно?
Эритремия – хроническое заболевание кроветворной системы. Для данного заболевания характерно значительное увеличение числа эритроцитов в крови, а также повышение уровня гемоглобина. Эритроцитами называются красные клетки крови.
Каков прогноз при эритремии?
Дети заболевают редко. В семейном анамнезе других случаев заболевания не отмечается. Прогноз зависит от возраста больного к моменту постановки диагноза, лечения и осложнений. Смертность высока в отсутствие лечения и в тех случаях, когда эритремия сочетается с лейкемией и другими раковыми заболеваниями.
Советы
СОВЕТ №1
Изучите основные симптомы эритремии, такие как покраснение кожи, зуд и увеличение селезенки. Это поможет вам своевременно обратиться к врачу при появлении первых признаков заболевания.
СОВЕТ №2
Регулярно проходите медицинские обследования, особенно если у вас есть предрасположенность к заболеваниям крови. Раннее выявление может значительно улучшить прогноз и качество жизни.
СОВЕТ №3
Обратите внимание на свой образ жизни: сбалансированное питание, отказ от вредных привычек и регулярные физические нагрузки могут помочь в управлении симптомами и улучшении общего состояния здоровья.


