Содержание
Кровь — самая важная составляющая любого живого организма, которая представлена жидкой тканью и состоит из плазмы и форменных телец (лейкоциты, эритроциты, тромбоциты). Функцией кровеносной системы является соединение и питание абсолютно всех органов организма, поэтому очень важно следить за состоянием крови, проводя регулярный клинический анализ.
По результатам лабораторного исследования крови специалист может судить о функциональных нарушениях организма.
Эритроциты с отклонениями от нормы
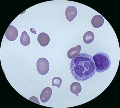
В некоторых случаях в крови человека могут встретиться эритроциты, величина которых отклоняется от нормы (68 микрон) в большую или меньшую сторону. Большие эритроциты называются макроцитами, а сам процесс изменения размера клетки — макроцитозом.
Данное состояние является признаком развития у пациента некоторых видов анемий, в том числе и тех, которые вызваны нехваткой в организме витамина В12 или фолиевой кислоты или увеличением скорости образования эритроцитов.
Макроцитоз — это состояние, при котором наблюдается увеличение размеров эритроцитов, что может быть признаком различных заболеваний. Врачи отмечают, что макроцитоз часто связан с дефицитом витаминов, особенно B12 и фолиевой кислоты, а также с заболеваниями печени и алкоголизмом. Важно понимать, что само по себе увеличение размеров клеток не является болезнью, а скорее симптомом, требующим дальнейшего обследования.
Специалисты подчеркивают, что игнорирование макроцитоза может привести к серьезным последствиям, таким как анемия или нарушения в работе органов. Поэтому при выявлении этого состояния необходимо провести дополнительные анализы и определить его причину. Врачи рекомендуют не откладывать визит к специалисту, чтобы избежать осложнений и своевременно начать лечение.

Тромбоциты с отклонениями

- быстрая утомляемость, нехватка энергии, повышенная усталость;
- одышка, нарушение дыхательных функций;
- повышенный сердечный ритм (в любом состоянии);
- бледность кожи, слизистых, ногтей (иногда кожа может приобретать синий оттенок).
Присутствие в крови как аномально больших, так и неестественно маленьких по размеру эритроцитов (макроцитов и микроцитов) — состояние, которое носит название анизоцитоз. Такое состояние, как анизоцитоз имеет 3 степени:
- анизоцитоз I степени — отклонение от нормы размера эритроцита (в ту и/или иную сторону) наблюдается у 30-50% от общего числа клеток;
- анизоцитоз II степени — отклонение у 50-70% клеток;
- анизоцитоз III степени — более 70% содержания макро- и/или микроцитов.
Как правило, такой макроцитоз, как эритроцитов ничем себя не проявляет и обнаруживается лишь в ходе клинического анализа крови, когда проводится лечение других заболеваний.
Причины макроцитоза эритроцитов и тромбоцитов
Макроцитоз (как эритроцитов, так и тромбоцитов) — не заболевание, а лишь признак патологических процессов, происходящих в организме человека. Такое состояние может быть вызвано рядом причин, установить которые может только врач на основе данных анализов и более детального обследования.
Причины данного состояния в случае эритроцитов:
- дефицит витамина В9 и/или В12;
- анемия, вызванная кровопотерей (постгеморрагическая);
- анемия, которая развилась вследствие разрушения красных кровяных клеток (гемолитическая);
- патологии костного мозга;
- онкологические заболевания (как правило, рак крови);
- функциональные нарушения щитовидки;
- хронический алкоголизм;
- заболевания органов кроветворения;
- беременность;
- применение некоторых лекарственных препаратов.
Причины макроцитоза тромбоцитов:
- ускоренное разрушение тромбоцитов;
- увеличение селезенки, гиперспленизм;
- сахарный диабет;
- атеросклероз сосудов;
- функциональные нарушения щитовидной железы;
- некоторые заболевания крови;
- макроцитарная дистрофия тромбоцитов Бернара-Сулье;
- аномалия Мея-Хегглина (заболевание, для которого характерно количественные и качественные изменения тромбоцитов);
- хронический алкоголизм;
- курение.
Макроцитоз — это состояние, при котором в крови наблюдается увеличение размера эритроцитов. Многие люди, услышав этот термин, начинают беспокоиться о своем здоровье. Важно понимать, что макроцитоз сам по себе не является диагнозом, а лишь признаком, который может указывать на различные заболевания или дефициты, например, витамина B12 или фолиевой кислоты. Некоторые считают, что это состояние может быть опасным, так как увеличенные клетки могут нарушать нормальную циркуляцию крови и кислорода в организме. Однако в большинстве случаев макроцитоз можно успешно лечить, устраняя его причины. Люди часто делятся своим опытом, отмечая, что своевременное обращение к врачу и правильная диагностика помогают избежать серьезных осложнений. Важно не игнорировать симптомы и следить за своим здоровьем, чтобы вовремя выявить возможные проблемы.

Что можно предпринять?

При отсутствии патологических заболеваний, человек может восстановить нормальные показатели форменных элементов крови, следуя некоторым советам:
- вести здоровый образ жизни;
- скорректировать рацион питания;
- регулярно проводить анализ крови;
- своевременно лечить заболевания, влияющие на качество кровяных клеток.
Стоит ли беспокоиться?
Безусловно, отклонение от нормальных показателей в анализе крови, сами по себе вызываю беспокойство у пациента. Следует помнить, что макроцитоз у новорожденных является нормой, так же как и в период беременности макроцитоз не является патологическим, а, следовательно, лечение не требуется. Незначительные колебания могут быть физиологической особенностью человека, или следствием приема некоторых лекарственных препаратов (лечение других заболеваний), в то время как значительное превышение нормы показателей являются поводом для срочной консультации специалиста.
Важно, при проявлении признаков макроцитоза или при выявлении этого состояния при лабораторном исследовании крови обратиться к врачу, который выявит истинную причину отклонений и назначит нужное лечение.

Каким может быть лечение?
Лечение макроцитоза назначается исключительно лечащим врачом и, как правило, направлено, в первую очередь, на лечение вызвавших его причин.
Вопрос-ответ
Чем опасен макроцитоз?
В тяжёлых случаях макроцитоз может быть связан с тахикардией, болью в груди, желтухой, кровопотерей и склонностью к кровотечениям, повторяющимися приступами субфебрилитета, гипотензией.
Как лечить макроцитоз?
Лечение макроцитоза подразумевает устранение причины. При дефиците витамина B12 или фолиевой кислоты лечение может включать изменение рациона питания. Также можно принимать пищевые добавки или делать инъекции для восполнения дефицита витаминов. При тяжёлой анемии может потребоваться переливание крови от донора.
Какие препараты вызывают макроцитоз?
К лекарственным препаратам, вызывающим макроцитоз, относятся ингибиторы обратной транскриптазы (зидовудин, ламивудин, ставудин), противосудорожные препараты (вальпроевая кислота, фенитоин), антагонисты фолиевой кислоты (метотрексат), химиотерапевтические препараты (алкилирующие агенты, ингибиторы пиримидина и пурина), сульфасалазин (противовоспалительное средство), пириметамин.
Каковы симптомы макроцитарной анемии?
Симптомы макроцитарных анемий: общая слабость, быстрая утомляемость. Расстройства стула. Снижение аппетита или отвращение к пище.
Советы
СОВЕТ №1
Обратитесь к врачу для диагностики. Если у вас есть подозрения на макроцитоз, важно пройти медицинское обследование, чтобы определить его причины и исключить серьезные заболевания.
СОВЕТ №2
Следите за своим питанием. Недостаток витаминов B12 и фолиевой кислоты может способствовать развитию макроцитоза. Включите в рацион продукты, богатые этими витаминами, такие как мясо, рыба, яйца, зелень и бобовые.
СОВЕТ №3
Регулярно проходите анализы крови. Это поможет вам отслеживать уровень гемоглобина и другие показатели, что позволит вовремя выявить изменения и принять необходимые меры.
СОВЕТ №4
Обратите внимание на симптомы. Если вы заметили усталость, слабость или другие необычные симптомы, не игнорируйте их. Это может быть сигналом о наличии макроцитоза или других проблем со здоровьем.

