Содержание
Система кровообращения людей вмещает около трех литров крови, которая находится в постоянном движении, транспортируя элементы питания и кислород в органы и ткани. Огромная работа, которую проделывает система, остается незаметной до тех пор, пока содержание красных кровяных телец не выйдет за пределы допустимой нормы. Состояние, которое при этом немедленно возникает, называется анемией.
Что это такое
Макроцитарная анемия – это патология, при которой происходит увеличение размера эритроцитов на фоне снижения их общего количества и падения уровня гемоглобина, при этом нарушается функция кроветворения. Состояние обусловлено нарушением баланса макроцитов (особо крупных эритроцитов), при котором их разрушение происходит более быстро, чем образование.
Макроцитарная анемия — это состояние, при котором в крови наблюдается увеличение размеров эритроцитов. Врачи отмечают, что наиболее распространенной причиной этого заболевания является дефицит витамина B12 и фолиевой кислоты. Эти витамины играют ключевую роль в процессе кроветворения, и их недостаток приводит к нарушению формирования клеток крови. Специалисты подчеркивают важность своевременной диагностики, так как симптомы могут быть неявными и включать усталость, слабость и головокружение. Лечение обычно включает в себя коррекцию диеты и, в некоторых случаях, применение витаминных добавок. Врачи также рекомендуют регулярные обследования, особенно для групп риска, таких как пожилые люди и вегетарианцы, чтобы предотвратить развитие осложнений.

Виды анемии

- Нормацитарные – при размере эритроцитов, не превышающим норму (7,2-8 микрон).
- Микроцитарные – при уменьшенном диаметре эритроцитов (менее 7,2 микрон).
- Мегалобластные – диаметр эритроцитов превышает 9Ю5 микрон.
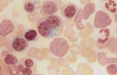
- Макроцитарные – диаметр эритроцитов превышает 8 микрон.
Мегалобластная, макроцитарная и гиперхромная формы сходны. Их различия заключаются в том, что ко второму виду относят следующие анемии:
- Гемолитическую (у новорожденных).
- Фолиево-дефицитную.
Главная причина мегалобластной анемии – недостаток витамина В12.
Характеристика макроцитарной формы
Данная форма заболевания является наследственной, то есть способна переходить от родителей к детям. Клинически патология выглядит следующим образом:
- Анализ крови показывает низкий уровень гемоглобина и эритроцитов, что выступает причиной ощущения слабости в теле.
- Сбои в системе кроветворения из-за быстрого распада эритроцитов по причине увеличенных размеров данного вида клеток крови.
Помимо генетически предрасположенной части людей, такая анемия обнаруживается у следующих групп населения:
- У лиц с выявленной печеночной недостаточностью.
- У страдающих алкоголизмом.
- При длительном отсутствии в рационе необходимых питательных элементов.
Главным отличием данного типа анемии от других типов заболевания является ее минимальное влияние на органы пищеварения и отсутствие воздействия на нервную систему.
Многие люди, сталкиваясь с диагнозом макроцитарной анемии, испытывают замешательство и страх. Врачебные рекомендации часто кажутся сложными и запутанными, но на самом деле понимание этого состояния может значительно облегчить жизнь. Пациенты отмечают, что важным шагом является осознание причин анемии, таких как дефицит витаминов B12 и фолиевой кислоты. Обсуждая свои симптомы, люди делятся опытом о том, как изменения в питании и добавление витаминов помогли улучшить их самочувствие. Также многие подчеркивают важность регулярных обследований и общения с врачом, что позволяет контролировать состояние и избегать осложнений. В конечном итоге, открытое обсуждение и обмен опытом помогают не только разобраться в проблеме, но и находить поддержку в трудные времена.

Причины

- При недостатке витаминов группы В, в частности В12 и фолатов, а также микроэлемента меди.
- Как следствие онкологических заболеваний печени.
- В период беременности при полной перестройке работы организма.
- При гипотиреозе (нарушении функционирования щитовидной железы).
- При токсических поражениях печени после применения агрессивных препаратов или приеме алкоголя.
- При нарушении образования гемопоэтических клеток, активно участвующих в кроветворении.
Вышеназванные причины провоцируют развитие макроцитарной анемии, которая является вторичной. Проводя лечение, используют комплексные методы, воздействуя как на основную проблему, так и на ее следствие. Выбор лечебных мер зависит от причины, вызвавшей патологическое состояние. К примеру, вероятность того, что после окончания беременности все нормализуется, высока, и врач только поддерживает оптимальное функционирование организма. Но при лейкозе применяется совершенно другое лечение.
Симптомы

- Желтоватый или бледный оттенок губ и кожи тела.
- Не проходящая утомляемость и слабость.
- Головокружение, иногда доходящее до обмороков, сонливость.
- Одышка даже после небольших нагрузок.
- Сниженное давление.
- Усиленное выпадение волос и ломкие ногти.
- Частая головная боль, нарушения сна.
- Частое возникновение простудных заболеваний.
- Учащение пульса.

Диагностика

- Мазок, общий анализ крови и мочи.
- Исследование количественного показателя В12 в сыворотке.
- Концентрация фолатов в сыворотке и эритроцитах.
- Биопсия костного мозга при дефиците фолатов и В12 на обнаружение мегалобластов.
- Другие тесты, исходя из проявления заболеваний, для выявления макроцитоза.
Дополнительно врач исключает возможность развития онкологии желудка, так как макроцитарная анемия часто вызывается злокачественной опухолью желудка. Это выясняется проведением гастроскопических исследований или рентгеноскопией.
Лечение

- Переливание крови.
- Инъекции витамина В12 и фолиевой кислоты.
- Применение специального рациона питания с преобладанием животных белков.
Лечение заболевания происходит в амбулаторном или стационарном режиме, исходя из запущенности состояния и тяжести симптомов. Пациенты, имеющие врожденную патологию, лечатся пожизненно, принимая Цианокобаламин согласно индивидуально назначенных курсов.
Осложнения, чем опасна, чем грозит
Анемия – достаточно опасное состояние по следующим причинам:
- Организм человека способен долго поддерживать снабжение органов кислородом даже при анемии. Поэтому часто патология проявляется уже при достижении критического состояния.
- Недостаток кислорода, переносимого кровотоком, вызывает кислородное голодание, приводящее к дистрофии органов и тканей.
- Анемия часто развивается вместе с заболеваниями, приводящими к серьезным последствиям, к примеру, с инфекционными, воспалительными или онкологическими.
- Состояние опасно при беременности для матери, и наносит вред плоду.
Точных научных данных о том, что макроцитарная анемия ведет к осложнениям, нет. Но к ним приводят нарушения, вызывающие увеличение диаметра эритроцитов. Пациенты, болеющие гепатитом или желтухой, часто отмечают и наличие макроцитоза, который в свою очередь вторичен относительно высокого уровня холестерина и фосфолипидов на оболочке эритроцитов.
Профилактические меры по предотвращению осложнений
Человеку, состоящему в группе риска возникновения анемии, во избежание развития болезни и появления осложнений, следует соблюдать меры профилактики, которые включают:
- Регулярное периодическое посещение генетика.
- Употребление медикаментов, что позволяет не допустить осложнений.
- Соблюдение режима питания и специально разработанной диеты.
- Осуществление личных мер контроля за развитием заболевания.
Для отслеживания картины крови через определенные промежутки времени проводится ее забор и анализ, что также входит в перечень профилактических мер по предотвращению осложнений. Профилактика необходима и тем пациентам, которые прошли лечение макроцитарной анемии.
При врожденной макроцитарной анемии лечение не даст полного выздоровления, а только поможет контролировать состояние здоровья. Если недуг приобретенный – максимально быстрое обращение к врачу обеспечит более благоприятный прогноз и выздоровление. Самолечение и употребление лекарств без рецепта на свое усмотрение помогает редко, и часто приводит к осложнениям. При этом нужно знать, что данное состояние – не самостоятельное, а сопутствующее определенным заболеваниям, и излечение от него не исключает возможности повторения.
Вопрос-ответ
Что характерно для макроцитарной анемии?
Макроцитарная анемия, или анемия витаминной недостаточности, — это состояние, при котором у человека наблюдаются аномально большие эритроциты и недостаточно здоровых эритроцитов. Она обычно развивается из-за дефицита витамина B12 или фолиевой кислоты.
Что такое макроцитарные анемии?
Макроцитами называют эритроциты увеличенных размеров (т. е. средняя величина объема эритроцитов [MCV] > 100 фл). Макроцитоз может наблюдаться в ряде клинических ситуаций, не связанных с созреванием мегалобластов.
Советы
СОВЕТ №1
Обратите внимание на симптомы. Макроцитарная анемия может проявляться усталостью, слабостью, головокружением и одышкой. Если вы заметили у себя эти признаки, не откладывайте визит к врачу для диагностики.
СОВЕТ №2
Следите за своим питанием. Убедитесь, что ваш рацион богат витаминами группы B, особенно B12 и фолиевой кислотой, которые играют ключевую роль в образовании красных кровяных клеток. Включайте в меню мясо, рыбу, яйца, молочные продукты и зеленые листовые овощи.
СОВЕТ №3
Регулярно проходите медицинские обследования. Анализы крови помогут выявить макроцитарную анемию на ранней стадии. Не забывайте проверять уровень гемоглобина и других показателей, особенно если у вас есть предрасположенность к анемии.
СОВЕТ №4
Обсудите с врачом возможные причины анемии. Макроцитарная анемия может быть вызвана различными факторами, включая дефицит витаминов, хронические заболевания или побочные эффекты лекарств. Понимание причины поможет выбрать правильное лечение.

