Содержание
Рак губы – злокачественная опухоль, образующаяся из плоского многослойного эпителия красной каемки верхней и нижней губы. Чаще всего в медицинской практике встречается рак нижней губы.
Верхняя губа подвергается заболеванию только в 3-5% случаев (женщины в группе риска из-за ношения пирсинга). В иерархии онкологических заболеваний рак губы занимает девятое место и встречается только в 1,5% всех случаев.
Примечательно, что у горожан это заболевание встречается в два раза реже, чем у жителей сельской местности, а у мужчин в четыре раз чаще, чем у женщин. В России девять из десяти больных раком губы – мужчины. Появляется заболевание обычно в преклонном возрасте, а самый его пик приходится на семидесятилетие.
По этой причине рак губы в медицине принято считать болезнью старости. Если выявить заболевание своевременно, то прогноз будет благоприятен. Вообще статистика по раку губы вполне обнадеживающая, полное излечение наступает в 70% случаев, главное избрать правильный и эффективный метод лечения.
Почему появляется рак губы?
- Частые механические, химические и термические травмы губы (употребление чрезмерно горячей пищи, курение, порезы о сколы зубов, неправильно установленные зубные протезы, употребление алкоголя, соединения ртути, мышьяка и висмута).
- Профессиональная вредность.
- Неблагоприятные метеорологические условия (затяжная инсоляция, сильный ветер, чрезмерно низкая температура).
- Вирусные инфекции.
- Врожденная форма прогении (верхняя губа не закрывает должным образом нижнюю губу).
В медицине также принято выделять факультативный и облигатный предрак. В последнем случае речь идет о врожденных факторах, проявляющихся в определенный момент времени и активизирующих процесс перерождения предрака в рак.
К предраковым облигатным заболеваниям провоцирующим рак губы относят бородавочный предрак, хейлит Манганотти и ограниченный гиперкератоз.
Трансформация факультативного предрака в рак происходит довольно редко, а вероятность появления полноценного злокачественного образования увеличивается прямо пропорционально длительности существования факультативного предрака у человека.
К факультативным предраковым заболеваниям, провоцирующим появление рака губы, относят постлучевой стоматит, язвенные формы плоского красного лишая, кожный рог, лейкоплакию, папилломатоз, красную волчанку и хейлит.
Врачи отмечают, что рак губы чаще всего развивается в результате воздействия ультрафиолетового излучения, курения и хронических травм. Профессиональные дерматологи подчеркивают, что люди с светлой кожей и те, кто много времени проводит на солнце, находятся в группе риска. Кроме того, употребление табака и алкоголя значительно увеличивает вероятность возникновения опухолей.
Методы лечения рака губы зависят от стадии заболевания и могут включать хирургическое вмешательство, радиотерапию и химиотерапию. Врачи рекомендуют раннюю диагностику, так как это существенно повышает шансы на успешное лечение. Также важна профилактика: использование солнцезащитных средств и отказ от вредных привычек могут значительно снизить риск развития этой болезни. В целом, комплексный подход к лечению и профилактике является ключом к успешной борьбе с раком губы.

Симптомы
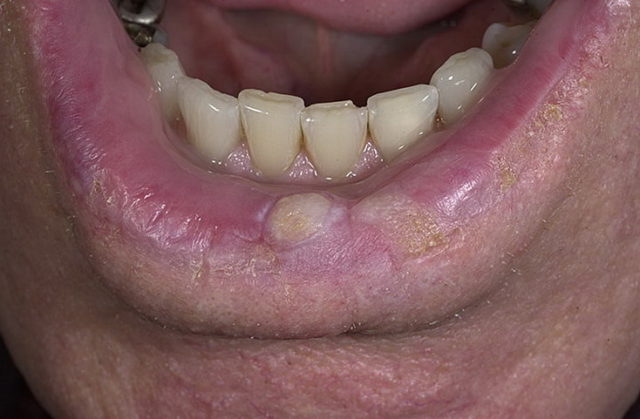
Первичный и самый важный признак рака губы — кровоточащие язвы. По внешнему виду они сильно напоминают герпес, однако, в отличие от последнего, раковые язвочки на губах не заживают. Иногда вместо язв появляются небольшие подкожные уплотнения, которые со временем также покрываются корочкой и разрастаются. Никаких болезненных ощущений ни припухлости, ни язвы не вызывают.
В дальнейшем рост опухоли на губе может затянуться на несколько лет, поэтому не заметить или пренебречь симптомами рака просто невозможно. С течением времени происходит увеличение тонзиллярных (подчелюстных) лимфатических узлов, вокруг образования на губе начинает скапливаться инфильтрат (клетки рака и кровь), а подвижность самой губы уменьшается.
На последних стадиях рака пораженная губа вообще не поддается контролю, это неизменно влечет за собой беспрерывное слюнотечение и истощение (человек не может нормально употреблять пищу). Ко всему этому добавляется еще и разложение опухоли, распространение метастазов на прилежащие лимфатические узлы и в челюстную костную ткань.
Рак губы: начальная стадия
Первичные симптомы данного заболевания обычно никак себя не проявляют, больные не ощущают ни дискомфорта, ни болей в области локализации злокачественной опухоли.
Только спустя какое-то время появляется увеличенное слюноотделение, легкий зуд, еле заметная боль в ротовой полости и дискомфорт во время употребления пищи. Позднее на внутренней стороне губы образуется небольшое уплотнение с шероховатой поверхностью (нередко на месте опухоли образуется язва).
Если эту поверхность содрать, то под ней обязательно обнаружатся белые бугорки. Однако такие симптомы мало кого настораживают, так как они имеют огромное сходство с ранней формой герпеса.
Болевой синдром наступает лишь тогда, когда злокачественный процесс захватывает кости нижней конечности и надкостницу. В таком случае можно говорить о раке губы первой стадии, сопровождающемся, ярко выраженными болевыми ощущениями. Если на данной стадии пренебречь лечением, то заболевание постепенно начнет прогрессировать, а симптомокомплекс увеличится.
В частности, со временем уплотнятся лимфоузлы, губа потеряет подвижность, прием пищи существенно усложниться, а общее самочувствие значительно ухудшится. Увеличение размеров опухоли всегда происходит непредсказуемо, у некоторых людей рак губы прогрессирует быстро, а других злокачественное образование увеличивается годами.
Рак губы — это злокачественное новообразование, которое чаще всего возникает у людей, подверженных воздействию ультрафиолетового излучения, а также у курильщиков. Многие отмечают, что длительное пребывание на солнце без защиты, а также привычка к курению значительно увеличивают риск развития этого заболевания. Важно также учитывать генетическую предрасположенность и наличие предшествующих заболеваний кожи.
Методы лечения рака губы зависят от стадии заболевания. На ранних этапах часто применяются хирургические вмешательства для удаления опухоли, а также радиотерапия. В более запущенных случаях может потребоваться химиотерапия. Многие пациенты отмечают, что ранняя диагностика и регулярные осмотры у дерматолога играют ключевую роль в успешном лечении. Психологическая поддержка и информированность о заболевании также помогают людям справляться с диагнозом и проходить курс лечения с меньшими трудностями.

Рак губы 1 стадии: лечение
Чаще всего при первой стадии заболевания лечебные мероприятия сводятся к близкофокусной рентгенотерапии, суммарная дозировка которой варьируется в пределах 5500 и 7000 рад. Разовая доза не превышает 500 рад. Немного реже для лечения первой степени рака губы применят трапециевидное прямоугольное электроиссечение. Иногда применяют криохирургию. После окончания лечения больному предписываются регулярные посещения онколога.
Рак губы 2 стадии: лечение
При второй степени рака также применяют рентгенотерапию, однако, при смещении опухоли к уголку ротовой полости при значительной инфильтрации обычно используют полуглубокую рентгенотерапию, суммарная дозировка которой варьируется в пределах 3000 и 3500 рад.
Примерно через месяц после удаления первичного очага проводят обязательное двустороннее удаление фасциально-футлярным иссечением шейной клетчатки одновременно с подбородочными, подчелюстными и верхнешейными лимфоузлами.
Глубокая рентгенотерапия (также называют телегамма) зон регионального метастазирования проводится только при нарушении абластичности операции (если врачу не удается избежать манипуляций в зоне опухоли) и невозможности ее выполнении. Максимальная доза в таком случае не превышает 3500 рад.

Рак губы 3 стадии: лечение
Практически во всех случаях третью степень рака губы лечат при помощи полуглубокой рентгенотерапии или телегамматерапии, воздействуя непосредственно на первичный очаг опухоли. Дополнительно применяется внутритканевая гамматерапия.
Если после вышеописанного лечения не удается достичь положительного результата и опухоль не резорбируется (не рассасывается), то в таких случаях проводя широкое электроиссечение губы с отсроченной или одномоментной хейлоплстикой.
В профилактических целях производится удаление шейных лимфоузлов и клетчатки с обеих сторон фасциально-футлярным иссечением. Если опухоль пускает метастазы в региональные лимфоузлы проводят операцию Крайля.
Рак губы 4 стадии: лечение
Последнюю стадию рака губы лечат при помощи глубокой рентгенотерапии, телегаммы, комбинированных или расширенных операций с обширной электрорезекцией губы тканей фронтального отдела дна ротовой полости и нижней челюсти. В обязательном порядке осуществляется удаление региональных лимфоузлов и клетчатки для предотвращения метастазирования.
В качестве паллиативных мер применяют либо телегамму, либо глубокую рентгенотерапию максимальная доза которых не превышает 4000 рад. При наличии кровотечения в распадающейся опухоли выполняется перевязка внешних сонных артерий. В крайних случаях, при прогрессировании рака прибегают к помощи региональной внутриартериальной химиотерапии (блеомицин, метотрексат).
Прогноз
Рак губы, выявленный на самой ранней стадии, когда злокачественная опухоль еще ограничена слизистым слоем прекрасно поддается лечению. Используют для этого самые различные способы – криотерапию, хирургическое вмешательство (на поздних стадиях пациенты проходят химиотерапию).
В соответствии с медицинской статистикой у 98% всех больных раком губы первой и второй стадии заболевание удается полностью излечить. На последней стадии заболевания полное излечение возможно лишь в 55% случаев. Вероятность летального исхода крайне мала. В России количество летальных исходов от данного заболевания не превышает 2% от общего количества всех зарегистрированных случаев.
Вопрос-ответ
От чего может возникнуть рак губы?
Причины возникновения рака губы. Фоновыми процессами для развития злокачественных новообразований являются хронические язвы, трещины губы, а также плоские лейкоплакии. В развитии заболевания значительную роль играет курение, особенно в сочетании с употреблением крепкого алкоголя.
Как лечат рак губ?
Лечение рака губы. В качестве основного метода рассматривают хирургическое вмешательство. Рекомендованный метод – органосохраняющее оперативное вмешательство с лучевой терапией или одномоментной пластикой. Объем операции определяется местным распространением новообразования и областью локализации новообразования.
Каковы факторы риска развития рака нижней губы?
Факторы риска возникновения рака нижней губы: инфекционные заболевания (герпес, хронические заболевания ЖКТ), травмы (удары, повреждения, вызванные неправильно подобранными протезами, наличие острых краев зубов, прикусывание, кариозные зубы, ожоги, воздействие химических канцерогенов), курение (особенно трубки).
Как удаляется рак губы?
Если опухоль операбельна, то перед хирургическим лечением назначают лучевую и химиотерапию. А затем проводят широкое иссечение опухоли и облучение лимфоузлов. Для неоперабельных пациентов назначают паллиативную химиотерапию, чтобы снять болезненные симптомы и улучшить качество жизни.
Советы
СОВЕТ №1
Регулярно проверяйте состояние своих губ. Обратите внимание на любые изменения, такие как новые образования, язвы или изменения цвета. Если вы заметили что-то необычное, не откладывайте визит к врачу.
СОВЕТ №2
Защищайте губы от солнечного света. Используйте бальзамы для губ с SPF, особенно в солнечные дни, чтобы снизить риск повреждения кожи и развития рака губы.
СОВЕТ №3
Избегайте вредных привычек, таких как курение и чрезмерное употребление алкоголя. Эти факторы могут значительно увеличить риск развития рака губы и других видов рака.
СОВЕТ №4
Поддерживайте здоровый образ жизни, включая сбалансированное питание и регулярные физические нагрузки. Это поможет укрепить иммунную систему и снизить риск развития различных заболеваний, включая рак.






