Содержание
Во врачебной литературе под термином «лимфома селезенки» понимают поражение клеток лимфосистемы и ее тканей. Одним из характерных признаков является значительное увеличение лимфоузлов, а также беспорядочные действия по накоплению лимфоцитов в организме. Данное заболевание имеет свои формы и особенности лечения.
Формы

- диффузную крупноклетчатую лимфому;
- В-клеточную;
- Т-клеточную;
- фолликулярную.
Однако медики признают, что и по сегодняшний день все виды лимфом досконально не изучены.
Врачи подчеркивают, что лимфома селезенки — это редкое, но серьезное заболевание, которое требует внимательного подхода к диагностике и лечению. Селезенка, играющая ключевую роль в иммунной системе, может быть поражена как первичной, так и вторичной лимфомой. Симптомы часто включают увеличение селезенки, боли в животе и общую слабость. Врачи рекомендуют проводить регулярные обследования, особенно для людей с предрасположенностью к лимфомам. Современные методы диагностики, такие как УЗИ и КТ, позволяют выявить заболевание на ранних стадиях. Лечение может включать химиотерапию, радиотерапию и, в некоторых случаях, хирургическое вмешательство. Важно, чтобы пациенты получали комплексную поддержку и информацию о своем состоянии, что способствует более эффективному лечению и улучшению качества жизни.

Лимфома маргинальной зоны селезенки
Лимфома маргинальной зоны — это процесс, характеризующийся поражением лимфоидной ткани селезенки. Такое заболевание относят к категории индолентных или вялотекущих опухолей.
Такое заболеванием не имеет никакой ярко-выраженной симптоматики и на ранней стадии лимфому практически невозможно распознать.
Группы и факторы риска, распространенность заболевания
На сегодняшний день существует перечень основных факторов риска, которые могут привести к развитию лимфомы.
К ним относят:
- Развитие вируса Эпштейна-Барр. Он напрямую воздействует на рост и развитие опухоли в организме, которая поражает здоровые клетки.
- Аутоиммунные болезни, перенесённые ранее.
- Наследственность. К сожалению, вероятность развития лимфомы повышается в случае, если ваши родственники были поражены болезнью.
- ВИЧ/СПИД.
- Употребление в пищу большого количества белка в виде мясных продуктов.
- Иммунодепрессанты.
- Употребление в пищу пестицидов.
Статистика такова, что мишенью для заболевания становятся как взрослые, так и дети.
В Соединённых Штатах Америки ежегодно диагностируется около шестидесяти тысяч случаев.
К сожалению, в Российской Федерации нет статистики таких заболеваний в открытом доступе.
Лимфома селезенки — это заболевание, которое вызывает много вопросов и обсуждений среди пациентов и их близких. Люди часто делятся своими переживаниями о симптомах, таких как увеличение селезенки, боли в животе и усталость. Многие отмечают, что ранняя диагностика играет ключевую роль в успешном лечении. Важно, чтобы пациенты не стеснялись обращаться за помощью и обсуждать свои симптомы с врачами. Некоторые пациенты рассказывают о своем опыте лечения, включая химиотерапию и радиотерапию, и подчеркивают важность поддержки со стороны семьи и друзей. Обсуждения в онлайн-сообществах помогают людям чувствовать себя менее одинокими, а также находить полезные советы и информацию о новых методах лечения.

Что происходит в организме
Селезенка в организме является самым большим лимфатическим органом, основной функцией которого является защита иммунитета и выработка крови.
В связи с развитием лимфомы клиническая картина выглядит следующим образом.
- Насыщение организма даже при употреблении небольшого количества пищи.
- Высокое потоотделение как днём так и ночью.
- Проявляется чувство тяжести под правым ребром.
- Нарушенный аппетит.
- Резкое снижение массы тела.
- Малокровие.
- Повышенная температура без признаков ОРВИ.
Тем временем опухоль распространяется по лимфатическим тканям селезёнки, в результате чего может появиться болевой синдром.
Орган может увеличиться в размерах.
Попадаются кровяные клетки и ткани относящиеся к костному мозгу.
Причины возникновения

Лимфома же располагается в маргинальной зоне, то есть в своеобразной границе между этими пульпами. В этой зоне скапливается множество небольших и совсем крошечных артерий, инородные частицы и поврежденные части клеток.
Чаще всего причиной возникновения становится возраст. Лица, младше 30 лет болеют в 10 раз меньше, чем люди пожилого возраста.
Неправильный образ жизни, наследственность и перенесённые ранее болезни — это также причины возникновения лимфомы.
Стадии и симптомы
Лимфома селезенки протекает в четырёх стадиях.
Первая стадия
Поражает клетки селезенки. Увеличиваются размеры органа. При пальпации чувствуются болевые ощущения. Увеличивается потливость. Появляется усталость. Узел увеличивается в размерах. Начало воспалительного процесса.
Вторая стадия
Поражение сразу нескольких узлов. Болезненные ощущения при ходьбе. Лихорадка. Потеря веса.
Приступы тошноты.
Третья стадия
Опухоль переходит на лимфоузел. Поражаются рядом расположенные органы. Селезенка увеличена. Давит на расположенные рядом ткани.
Тяжесть справа в подреберье. Быстрое насыщение. Сдача анализа крови подтверждает малокровие.
Четвёртая стадия
Распространяется на все участки организма. Боль приобретает постоянный характер. Обезболивающие не действуют. Селезенка увеличила аномально.
Для того, чтобы вовремя диагностировать болезнь необходимо знать о ее основных симптомах.
На первичном приеме пациенты жалуются на:
- Усталость.
- Утомляемость.
- Потливость.
- Слабость организма.
- Апатия.
Остальная симптоматика проявляется только на второй или третьей стадии заболевания.
- Тяжесть в желудке.
- Тяжесть в кишечнике.
- Повышенная температура.
- Потеря веса.
- Болевые ощущения.
- Слабость.
- Отсутствие сна.
- Утомляемость.
- Раздражительность.
- Апатия и плохое настроение.
Диагностика
Клинический анализ крови
Клинический анализ крови — это первое обследование, которое нужно пройти для того, чтобы подтвердить или опровергнуть лимфому.
Сдать такой анализ можно в любой лаборатории или клинике.
Гемоглобин должен находиться в рамках 120-160 г/л.
Тромбоциты 180-320 тыс/мкл.
Лейкоциты 4-9 тыс/мкл.
Следствие лейкоза являются завышенные показатели лейкоцитов и заниженные показатели тромбоцитов и гемоглобина.
Однако определить наличие или отсутствие лимфомы может только врач.
Биопсия
Биопсия характеризуется процедурой, которая предполагает иссечение тканевой поверхности или поражённого органа в целях проведения исследовательских процедур. Биопсии может быть подвергнута как селезенка, так и костная ткань. Такая процедура может проводиться как под общим, так и под местным наркозом.
Биопсия селезенки проводится после удаления органа или его части. Если есть основания полагать, что лимфома распространяется, делают биопсию костного мозга.
Исследование лимфоузлов проводят в целях определения стадии развития.

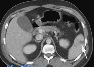
Компьютерна томография — это способ диагностики, позволяющий увидеть картину развития заболевания. Исследование проводят на органах, расположенных в брюшной полости.
С помощью такого метода выявляют изменения в состоянии узлов.
МРТ
МРТ при лимфомы полезно для установки оценки степени развития болезни. Необходимо для получения снимков органов и тканей.
Решение о назначении такого вида исследования принимает врач.
Иммунофенотипирование
Иммунофенотипирование происходит с использованием методики проточной цитометрии. В организм больного вводится зонд, насыщенный моноклональными антителами. Эти микроорганизмы способны вступать в реакции со злокачественными клетками лимфомы. Антитела подсвечивают поражённую область, позволяя медикам оценить зону поражения, стадию заболевания, количество лейкоцитов. Взаимодействие антигенов и антител позволяют отслеживать состояние больного, в особенности, непосредственно перед хирургическим вмешательством.
Этот метод относится к разряду специфических так как позволяет в некоторых ситуациях избежать инвазийного воздействия.
УЗИ
УЗИ позволяет отследить область распространения лимфомы, оценить состояние организма, посмотреть с разных углов на поражённые объекты. УЗИ позволяет измерить размеры поражённого органа. Наличие или отсутствие опухоли.
Метод УЗИ применим как на начальных этапах развития заболевания, так и на серьезных стадиях.
Лимфома изображена на видео
https://youtube.com/watch?v=VgHxNXdITTk
Другие методы
В ряде клиник применяется метод диагностической лапароскопия. В результате исследования принимается решение об удалении селезенки, чтобы не допустить распространение злокачественной опухоли.
На первичном приеме врачи используют метод пальпации. Такой способ позволяет определить источник боли.
Лечение
Мед. препараты


Помните о том, что назначать медикаменты вправе только ваш лечащий врач.
Хирургические методы, спленэктомия
При лимфома на поздних стадиях целесообразно удалять селезенку.
Метод сплэнктомии характеризуется удалением через брюшную полость пациента. Осуществляется посредством трёх разрезов. Иногда удаляют и прилегающую поражённую ткань.
Пункция через кожу является самой щадящей и безболезненной методикой. Делаются точечные проколы. Извлекают поражённые ткани. В проколы вводят лекарственный препарат, которое оказывает мощное противоопухолевое воздействие.
Резекция — это способ иссечения поражённого органа, в этом случае, селезенки.
Симптоматическое и ситуационное лечение
Симптоматическое лечение — это комплекс действий, которые помогают бороться с симптоматикой. Как правило, используют жаропонижающие и болеутоляющие средства.
- Бонин. Противорвотное средство. Позволяет избежать обезвоживания при лимфоме.
- Ибупрофен и Нимесулид. Противовоспалительные препараты.
- Кодеин и Трамадол. Обезболивающие для второй и третьей стадии.
- Трифтазин. Психотропное средство с антирвотным эффектом. Применяется только по рецепту.
Для достижения эффективного результата лечение должно комбинироваться с другими способами.
Другие методы лечения и помощи
Многие при наличии лимфомы прибегают к народной медицине. Особой популярностью пользуются отвары из полыни, чистотела, березовых почек и так далее.
Химиотерапия — крайняя мера, обращение к которой должно быть предложено врачом.
Какие клиники специализируются на лечении?
- Онкоцентр Блохина г.Москва. Комплексное лечение от 300 тыс. руб.
- Онкоинститут ЕМС г.Москва. Комплекс от 500 тыс.руб.
- НИИ онкологии Петрова в Санкт-Петербурге от 300 до 1,5 млн.
Дается ли инвалидность
Бессрочная инвалидность после лимфомы даётся после трёх лет непрерывного лечения. В момент лечения заболевания гражданин получает вторую степень инвалидности, которая снимается в случае полного выздоровления.
Прогнозы
Прогноз лечения
Лечение должно затормозить процесс развития опухоли, запустить именную систему, направить действие на очищение.
После хирургического вмешательства процесс выздоровления идёт несколько быстрее.
Прогноз выживаемости
Статистика говорит о том, что при правильном и своевременном подходе к лечению у восьми из десяти человек наступательных ремиссия. Выживаемость при таком заболевании варьируется от 10 до 20 лет. Реже — до одного года.
Профилактика
Если кто- то ранее в вашей семье сталкивался с таким заболеванием, необходимо уделить внимание мерам профилактики.
Следует вести здоровый образ жизни. Чаще бывать на обследованиях.
Сократить наличие стрессовых ситуаций.
Вывод
Лимфома — это болезнь которая ещё не изучена должным образом. Хочется верить, что в скором будущем врачи смогут найти панацею от неё.
Вопрос-ответ
Лечится ли лимфома селезенки?
Химиотерапия остается основным методом лечения лимфомы селезенки. Современные протоколы рекомендуют использование комбинаций препаратов, таких как R-CHOP (ритуксимаб, циклофосфамид, доксорубицин, винкристин, преднизон).
Излечима ли лимфома селезенки?
Селезёночная лимфома развивается медленно. Лечение часто бывает успешным, но лимфома часто рецидивирует (возвращается) и требует дальнейшего лечения для контроля. Большинство людей живут с этим типом лимфомы много лет.
Можно ли полностью вылечить лимфому?
Да, лимфому можно вылечить или хотя бы добиться стойкой ремиссии — состояния, при котором болезнь отступит, опухоль остановит свой рост, самочувствие человека станет легче.
Советы
СОВЕТ №1
Регулярно проходите медицинские обследования, особенно если у вас есть предрасположенность к заболеваниям крови или лимфатической системы. Раннее выявление лимфомы может значительно повысить шансы на успешное лечение.
СОВЕТ №2
Обратите внимание на симптомы, такие как увеличение селезенки, необъяснимая потеря веса, ночные поты и усталость. Если вы заметили эти признаки, не откладывайте визит к врачу для диагностики.
СОВЕТ №3
Изучите доступные варианты лечения лимфомы селезенки, включая химиотерапию, радиотерапию и иммунотерапию. Понимание различных методов поможет вам и вашему врачу выбрать наилучший подход к лечению.
СОВЕТ №4
Поддерживайте здоровый образ жизни, включая сбалансированное питание и регулярные физические нагрузки. Это поможет укрепить вашу иммунную систему и улучшить общее состояние здоровья, что важно при борьбе с лимфомой.

