Одним из самых распространенных заболеваний, возникающих у представительниц прекрасного пола, является цистит – воспалительное поражение слизистой оболочки мочевого пузыря. Оно связано как с негативным влиянием внешних факторов, например, длительным воздействием низких температур, так и обуславливается внутренними проблемами. Частой причиной хронического рецидивирующего процесса является дистопия уретры у женщин. Это нарушение, которое представляет собой неправильное расположение выходного отверстия мочеиспускательного канала на передней стенке влагалища.
Данная патология представляет собой аномалию внутриутробного развития. Точные причины ее возникновения на сегодняшний день неясны. Женщины, у которых уретра открывается во влагалище, постоянно мучаются от циститов после коитуса, поскольку происходит инфицирование мочевыводящих путей. Кроме этого, воспалительный процесс поражает и половую систему. Консервативные методы в лечении дистопии уретры у женщин не дают желаемого результата, поскольку не устраняют основную причину возникновения симптомов поражения. Наиболее эффективны радикальные хирургические техники, позволяющие восстановить естественное расположение наружного отверстия мочеиспускательного канала.
Причины патологии
Данная проблема относится к врожденным аномалиям и формируется внутриутробно. На сегодняшний день факторы, обуславливающие возникновение этого недуга, неизвестны. Во многих случаях дистопия наружного отверстия уретры остается не диагностированной до зрелого возраста либо же до начала активной половой жизни, поскольку именно интимная близость чаще всего провоцирует возникновение клинической картины. Существует предположение о генетической составляющей заболевания, но доказательств данной гипотезы пока нет. 
Основные признаки
Во многих случаях выявляется лишь один симптом неправильного расположения уретры – цистит. Воспалительное поражение слизистой оболочки мочевого пузыря при этом зачастую инициировано половой связью. Во время секса неправильно расположенный конец уретры механически травмируется, что приводит к развитию восходящей инфекции. Наиболее характерными клиническими признаками данного поражения являются:
- Учащенное мочеиспускание, которое доставляет женщине значительное неудобство. При этом должного наполнения пузыря не происходит. Позыв к посещению туалета возникает из-за раздражения слизистой оболочки.
- Болезненность мочеиспускания – ключевой симптом, с которым обращаются к врачу представительницы прекрасного пола.
- В ряде случаев отмечают общую слабость, подъем температуры тела.
Вместе с циститом зачастую возникает и уретрит, а также воспалительные поражения вульвы и влагалища. Моча представляет собой прекрасный питательный субстрат для бактерий, населяющих гениталии женщины в норме. В совокупности данные симптомы значительно снижают качество жизни пациентки.
Диагностика
Определить наличие дистопии уретры при помощи современных визуальных методов не представляет труда. Процесс подтверждения недуга начинается со сбора анамнеза, в котором присутствуют характерные для заболевания жалобы. Для постановки диагноза прибегают также к специальной технике пальпации О’Доннела-Хиршхорна. Она позволяет определить точную локализацию наружного отверстия уретры.
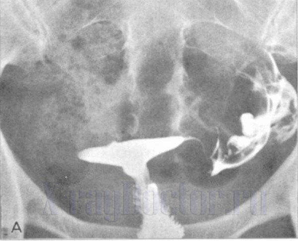
Для исключения других сопутствующих недугов прибегают к анализам крови и бактериологическим тестам. Показателен также и рентген с контрастом. Он проводится с использованием специальных средств, вводимых в мочевой пузырь через уретру. С его помощью получаются своеобразные фото, которые также помогают в определении локализации. В ряде случаев требуется проведение эндоскопического исследования влагалища, а также осуществляется компьютерная томография.

Лечение
Консервативные методы борьбы с дистопией уретры у женщин не дают стойкого результата. Даже на фоне приема противовоспалительных и антибактериальных средств цистит и вульвовагинит рецидивируют, особенно если пациентка имеет активную половую жизнь. Наиболее действенное лечение – проведение хирургического вмешательства. Оно позволяет полностью избавиться от проблемы и предотвратить постоянное появление посткоитального воспаления слизистой оболочки мочевого пузыря. К проведению процедуры существует ряд противопоказаний, однако она активно применяется для борьбы с дистопией.
Перед осуществлением хирургического вмешательства потребуется предварительная антибактериальная терапия. Она позволяет снизить возможный риск осложнений, связанных с инфицированием урогенитального тракта. Важным условием успешной операции является и применение противовоспалительных средств. Они позволяют бороться с отечностью наружного отверстия мочеиспускательного канала и влагалища, что значительно облегчает работу хирурга.
Подготовка также зависит от наличия у пациентки других сопутствующих заболеваний. Поскольку для проведения манипуляции применяются разнообразные протоколы анестезии, от местной до общей, потребуется пройти ряд обследований, а также скорректировать выявленные в ходе диагностики нарушения.
Хирургическое лечение дистопии сводится к подъему наружного отверстия уретры. Для этого пациентку кладут на спину. Предварительно катетеризируется мочевой пузырь, что значительно облегчает дальнейшую работу хирурга. Операция носит название транспозиции дистального одела уретры. Делается небольшой разрез на 1 см выше имеющегося мочеиспускательного канала, после чего оно переносится, занимая физиологическое положение. На оставшуюся рану накладываются швы. Если имеются уретро-геминальные спайки, при проведении операции они рассекаются, поскольку доставляют значительный дискомфорт женщине во время интимной близости и способствуют развитию вагинита. 
Показания и противопоказания к хирургическому вмешательству
Операция проводится при наличии дистопии, сопровождающейся рецидивирующим посткоитальным воспалением слизистой оболочки мочевого пузыря. Подобное лечение самое результативное.
Как и у любого другого хирургического вмешательства, у манипуляции есть противопоказания. Они связаны с обострением хронических процессов в организме и наличием значительного инфицирования мочеполового тракта. В таких случаях требуется проведение предоперационного обследования, а также антибактериальной и противовоспалительной терапии. Не рекомендуется осуществление транспозиции дистального отдела уретры и нерожавшим женщинам. Это связано с особенностями репродуктивной системы и ее близостью к мочеиспускательному каналу. В результате хирургического лечения происходит снижение эластичности прилежащих тканей. Подобные изменения повышают риск развития патологии во время родов, так как снижается подвижность уретры и увеличивается вероятность травмирования.
Существуют и еще более новые методы лечения дистопии наружного отверстия мочеиспускательного канала. Они позволяют не только придать структуре физиологическое положение, но и справиться с сопутствующими дефектами. Например, при гипермобильности уретры, которая обуславливает травмы, а в ряде случаев даже частичную непроходимость, проводится подшивание структуры к лобковой кости. Для этого используется специальная методика наложения лигатуры. Подобная процедура применяется не слишком часто, хотя и имеет очевидные преимущества.
При выявлении серьезных противопоказаний к проведению полноценного хирургического вмешательства практикуются инъекции биоразлагаемого геля. Распространено применение препаратов на основе гиалуроновой кислоты. Вещество используется в косметологии и малоинвазивной хирургии, поскольку хорошо переносится пациентами. При помощи введения геля в определенные точки производится своеобразная пластика выходного отверстия уретры, за счет чего она приподнимается. Подобная манипуляция проводится под местной анестезией, к тому же в состав применяемых для процедуры препаратов также входит обезболивающий компонент. К недостаткам техники относится временный эффект, причем его продолжительность варьируется в силу индивидуальных особенностей организма пациента. В ряде случаев инъекции гиалуроновой кислоты используются, как «пробное» лечение.
Отзывы
Маргарита, 26 лет, г. Астрахань
Мучилась от постоянного хронического цистита, который обострялся каждый раз после секса, из-за чего половая жизнь была значительно затруднена. Обратилась к врачу, который выявил дистопию уретры. Приняли решение о проведении операции. После комплексного обследования провели хирургическое вмешательство, и симптомы пропали.
Анастасия, 22 года, г. Санкт-Петербург
Со времени начала половой жизни участились случаи развития цистита. Было больного ходить в туалет, а уж про интимную близость и говорить нечего. Решила обратиться к врачу. У меня нашли дистопию уретры. Доктор назначил антибиотики, противовоспалительные, а также уколы гиалуроновой кислоты. Операцию по транспозиции рекомендовали провести после рождения ребенка.

